I’m open to any help or insight I can get, and grateful to anyone who takes the time to look at this.
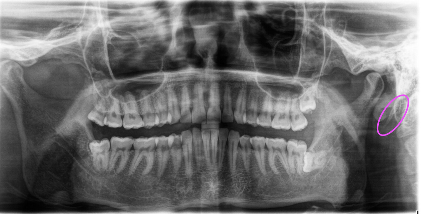
For some context, I’m 28M. I have not been diagnosed with Eagle’s, though I do expect that I either have it or some adjacent disorder. My life has been on a consistent downswing for the last year+. In October of 2024, I started having sporadic pulsate tinnitus and dizziness in my right ear. I wrote it off as nothing, potentially stress related, but my symptoms progressed. Around November I started having icepick headaches, head pressure, dizziness, and brain fog, as well as a feeling of fullness on the left side of my neck. In December I turned my head while speaking to my partner and felt a rubberband snap (which I know is a symptom that many report here) in my upper left neck, right below my jaw, instantly followed by dizziness and confusion. This rattled me - I feared I was having a stroke or TIA - and I ended up in the ER the next day. Everything came back normal. I followed up with several ENTs who sent me for a head MRI, a head MRA and MRV, and a contrasted 2D neck CT (I don’t have this on hand, nor do I have the images, as I have to pick up the disc from the physical location a state over, and I’ve done so several times but have ended up foolishly leaving the discs at doctor’s offices, but I am working on getting another copy which I plan to download). All of these tests sent me on alternative paths, never addressing my root symptoms: we found a malformation/ossification in my nose, likely due to me breaking my nose as a child, and I saw two ENT’s regarding this as one thought it looked portentously suspicious and wanted to operate on it, the other saying it was benign. I got two biopsies for enlarged submandibular lymph nodes, which are still enlarged to this day, all coming back negative. I’ve seen a neurologist, multiple rheumatologists, five ENTs, and a GP in the past year - none of which can locate what is wrong with me. I also saw a dental surgeon in May due to bony protrusions appearing on the roof of my mouth, and she advised that I should get an ENT to investigate the potential for Eagle’s syndrome. After weeks of searching I finally found one and provided him a copy of the 2D CT, and he said my styloids looked fine. No elaboration, no further thoughts on what could be causing my symptoms, and since then I’ve been lost on how to further pursue treatment or diagnosis. I’ve spent thousands of dollars on tests, and yet I’ve had difficulty finding a doctor who is willing to engage in a full dialogue or one who seems to really care if I live or die. All the while I feel pressure/tapping in my neck, which has become prickly and painful, I have severe brain fog and derealization, chronic nausea, eye pain/twitches, sharp temple pain, tingles running from my scalp to my upper back. Sometimes I feel a sort of wiry pressure running from my left shoulder all the way up to the back of my head. I also have a hard, constant lump behind my left ear which feels bony. I have trouble sleeping at night due to the discomfort in my neck. I can’t run, and stopped going to the gym for fear of worsening the structures in my neck. I want to be free of this, but most of all I want to know definitively what’s wrong with me.
I apologize for the venting/text dump. If anything here indicates some elongation of my styloid process, or evidence of calcification, I would love to know so that I can further pursue treatment. I made an appointment with Dr. David Kutler in NYC for next month, as I’ve read that he diagnosed someone here with Eagle’s, so maybe there is some hope on the horizon.

