Hi, I hope I am posting this correctly as it’s my first post. I have to start by saying thank you because I think this forum is what has given me direction and hope. I have been told for years that I am fine…when I am most definitely not. It’s a nightmare isn’t it… being told you are a picture of health, but you feel the complete opposite like every step is a struggle.
Approximately four years ago I started experiencing the weirdest symptoms. It started with periods of odd fatigue, headaches, brain exhaustion. One night approximately 6 months after this started, I woke up from a dead sleep to lightning like pain in the left side of my face. Besides this sudden facial pain, I also felt exhausted and just ill. I went to the ER, they did an MRI and said I was fine and should follow up with neurology. They diagnosed me with complex migraines (I’d never had migraines before). This started a period of years of neurology visits and many ER visits to be given things like the migraine cocktail (which made me feel absolutely horrible) or to have eye pressure tests, etc. The lightning pains ended shortly after they started but ever since this the left side of my face has been numb. It feels like I had lidocaine at the dentist on the left side every day in varying degrees. I also started having ridiculous brain fog, dizziness, eye pressure, eye watering, fullness in my ear…. everything left sided. Over time, my voice changed, I feel like something is in my throat, I can get short of breath and have the sensation I can’t swallow. After a long while, I realized I could not sleep on my left side because something gets compressed and I would wake up to a day of headaches and brain fog. I saw over 50 doctors during this time from every specialty. My primary wasn’t helping me so I was determined to figure it out. I could go on and on but something tells me my story is similar to so many so I will try not to bore you. The important points are:
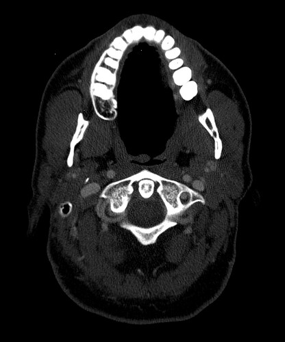
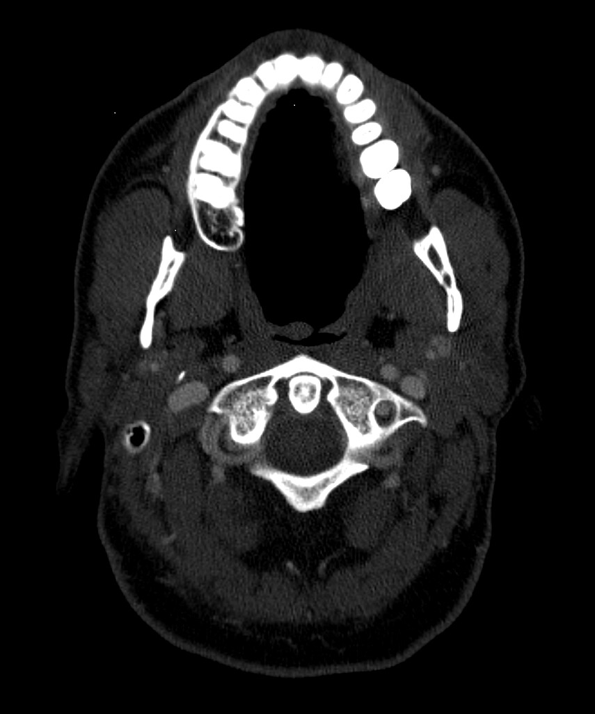
I did have an MRA done at Mayo that showed severe blood flow compression on my left side with my arms up. Because of this test, I went back to UCLA and did tests for Thoracic Outlet Syndrome. The limited tests they can do for this seemed to help. So, I had a left rib resection 2 yrs ago. Before this surgery, I did do a CT w/wo contract to look for Eagles and the report came back saying my stylohyoid was normal. So I went ahead with the thoracic outlet surgery. That surgery got rid of the daily headache I was dealing with. It seemed to have relieved pressure headaches and some of the loss of feeling in my arm. It never helped with the facial pains and dizziness though that I live with. Months after this surgery, I also developed Frozen Shoulder. I found it odd I got this so long after the surgery and when I was in PT. It seemed like the more we tried to use my arm and mess with my neck, the worse it got. I then went back to Mayo and had a head and face MRI that showed compression of my vagus nerve with an artery around my brainstem. It also showed a blood vessel touching my trigeminal nerve which is what they look for with trigeminal neuralgia surgery. So I took this and followed this lead. After visiting three trigeminal neuralgia surgeons, most of them said since I didn’t live with shooting lightning pains, I wasn’t a good candidate for the surgery. I was referred to some neurosurgeons regarding the vagus nerve compression at the brain stem. I almost had surgery booked for this and then the dr said something more is going on here, let’s hold off. This led me to circle back to Eagles Syndrome. Even though my CT hadn’t shown eagles on the report, I took it to Dr. Osborne. He indicated I had a calcified ligament. I almost moved forward with surgery, but I am concerned about the vascular issues I know I’m experiencing. I worry that I need to ensure we target these issues in my surgery. In the past few years, I’ve had near fainting spells, dizziness (I no longer can drive), BP issues that were similar to POTS but not, heart palpitations, horrible brain fog, and a complete inability to concentrate. I also get left sided body numbness and weakness. My left leg can even be impacted. It’s not to where I can’t walk but it feels like I’m living on a cruise ship trying to balance myself and my left side is weak. I feel like I need to confirm I have vascular issues and make sure I care for this in surgery. I tried to get a second opinion with an ENT at UCLA and they said they saw nothing wrong with my stylohyoid but that they see something wrong with my hyoid bone that they might be willing to operate on.
I really need help reading my images myself. I have anonymized them, but I don’t even know how to provide the right image to view here. I want to be able to advocate well for myself but I need to know what I’m looking at. I feel like the group on here know more than any doctors at this point. I would love to get back to normalcy…driving my kids around, actually getting sleep, being able to think clearly, being able to physically exercise, to be thriving and not barely surviving. Things I took for granted before this, I won’t again. Pls help if you are able. I can post my images following this first post though guidance on steps would be appreciated.






























