In Canada, feeling hopeless

@Isaiah_40_31 Thank you so much for all of that amazing information.

I have been in contact with Dr. Vitor Pereira from Toronto St. Michael hospital. His staff is simply amazing. They said that Dr. Pereira can indeed assist me with ES, and he also treats Ehlers Danlos as well, which I have. They said I should be seen asap as there is vascular involvement.

Since my family dr. has been a disaster to get any help from (she sent two referrals to Dr. Fung in London that had the WRONG info on it, she said I had jaw pain which I don’t, and as such they were denied and she also will not order a CTA for me of the neck and head). Dr. Pereira’s office said the next time I have any issues to go to the ER and they could maybe help.

So, sure enough, last night I had an acute vascular event - so went to the ER. They are referring me to Dr. Pereira! and also ordering me a CTA. :smiley: So I’m so happy to finally hopfully be seen by someone who can help me. I hope it all works out!

3 Likes

Not good that you had to go to the ER (hope you’re feeling better today? :hugs: ), but good Dr Periera will see you, & knows about EDS too!

2 Likes

@Isaiah_40_31 I’m feeling better yes, just really tired. Those vascular events always take a big toll on me. All day yesterday I had major cracking at the base of my skull, with a lot of pain, and vision goes wonky for like 2 seconds. It happened multiple times yesterday. I had a lot of brain fog, and swelling / pain under my jaw in the submandibular area. Then all of a sudden I was making supper and almost passed out, and my heartbeat was in my vision, along with confusion, and an instant headache at the back of my head and in temples. Then the crushing fatigue comes on - it’s the same each time it happens. I then had pretty intense neck pain, like in the veins area at the side of my neck. Each time I touched under my jaw it was shooting pain down my vein. It freaked me out.

So I went to the ER - and they helped me. I’m hoping I can find some more info on Dr. Pereira, there doesn’t seem to be much on Google about Eagle Syndrome, but his secretary says he does treat it. I also don’t see a whole lot on here, and he’s not on the Dr. list?

I have a CTA scheduled for tomorrow.

3 Likes

I have added Dr. Pereira to our Doctors List. We didn’t previously put him on there because we’ve been told he diagnoses ES & treats symptoms but doesn’t do the surgery for it. Perhaps that’s changed.

I’m really glad your CTA is so soon & that Dr. Pereira’s ofc can schedule you quickly because of your vascular compression. Your symptoms sound like you have carotid compression or irritation causing your symptoms which is more critical than IJV compression. Please let us know what your CTA scan shows.

1 Like

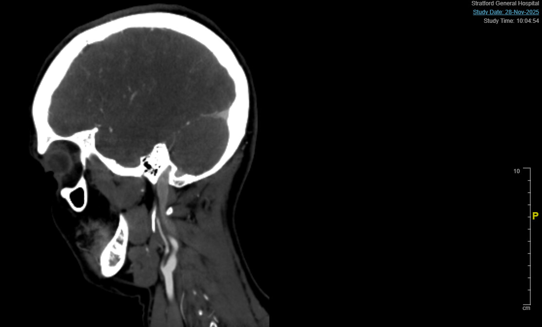
@Isaiah_40_31 @Jules @TML I had my CTA - they had to use a different dye due to my allergy to the IPV type they usually use. I’d love to have some thoughts on some of the images.

1 Like

The vascular symptoms you have sound horrible and scary, I hope that you’re able to see someone with experience soon, but good you’ve been able to have a scan with contrast despite your allergy!
I’m not able to label the scans, but looking at the first two images there looks to be some compression between the styloid (or calcified stylo-hyoid ligament; there seems to be a gap, so not sure if that’s the CT not catching it) and the C1 process.
On the 4th image, it looks like your hyoid bone processes are pretty long, & seem to be close to, or touching your carotid arteries (I’m sorry I’m not knowledgeable enough to say for sure).
@TML has just had his surgery so can’t do his usual detailing of images I’m afraid!
Sending you a hug :hugs:

2 Likes

Thank you so much @Jules ! I appreciate you taking a look at the scans. I didn’t realize he had surgery! Happy for him. I think I have significant IJV compression too

1 Like

Yes, sorry, it looks like the IJV is compressed between the styloid/ calcified ligament & the C1 process.

I’ve annotated 3 of your images though I’m not sure which of the 2 profile pictures is your left side & which is your right so I didn’t label left/right on the images. The third image is the one w/ your hyoid bone & I’m fairly certain what I marked as the internal carotids is correct but I’m not positive so I put ? after each one. If those are your internal (or external) carotids then at the very least the greater horns of your hyoid are poking them. At the worst, they’re causing compression w/ the left looking worse than the right side.

Please let us know what your report says when you get it.

2 Likes

@Isaiah_40_31 wow amazing thank you so much!!! Would there be another image that would be helpful….there are so many I don’t really know what to send. Ty!!! Chatgpt says 85 percent compression of ijv at certain points

1 Like