Info from RWTH Aachen (Germany) – few Eagle cases & no focus on jugular compression

Continuing the discussion from Doctor Lists – no discussion:

Hi everyone,

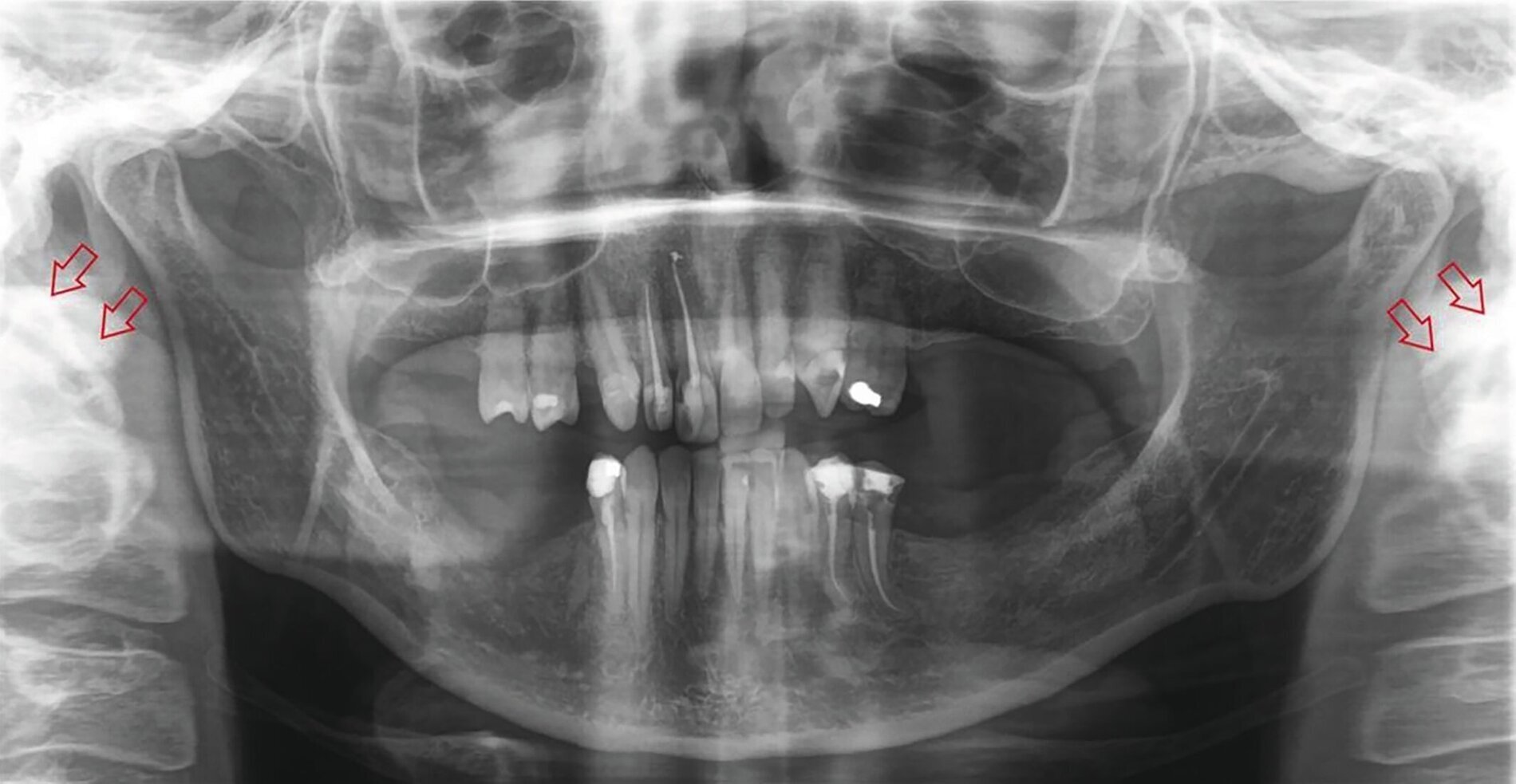
I wanted to share some information I got today from a maxillofacial surgeon at the University Hospital RWTH Aachen in Germany. I had the chance to talk to a senior consultant (Oberarzt) in Oral and Maxillofacial Surgery there (head of department is Prof. Dr. Dr. Frank Hölzle). It was more of an informative discussion rather than a formal consultation as a patient, but a few points were very clear:

  • At their department, they only treat a small number of Eagle syndrome cases per year – I was told it’s 5 to 8 cases annually (if I remember correctly - definetly less than 10)
  • Their standard approach is to shorten the styloid process so that about 1 cm remains from the skull base.
  • They are currently not specifically focused on, or set up for, jugular vein compression (jugular Eagle / internal jugular vein stenosis).

For me, this was an important takeaway: even at a big university center like Aachen, Eagle surgeries are still relatively rare, and there doesn’t seem to be a dedicated concept yet for jugular-type ES.

I thought this might be useful for anyone researching German centers or considering Aachen as an option, especially if jugular compression is part of the problem.

4 Likes

Thank you for this information, @TheDude. I really appreciate that you’re continuing to advocate for our German members by trying to find doctors in your country who can help our German members w/ ES so they don’t have to travel as far as you did to get the care they need.

Do you know who the surgeons are at Aachen who do ES surgery as even being able to add those doctors to our Doctors List would be helpful.

3 Likes

Thanks for that info, how did you get to have the meeting?!

2 Likes

The surgeries are done in the Oral and Maxillofacial Surgery Department (or “MKG” in German). Head of the Department is Prof. Dr. Dr. Hölzle.

I’m not sure who in this department does the ES surgeries. My guess is Prof. Hölzle (heard on forums) and some senior consultants probably.

Aachen is already mentioned in the doctors list. Details can be found under this link:

Here is also a Case report from their Department (with webpage translation to english ):

3 Likes

Thank you for your reply. It is helpful. I expect @Jules will put the link for the research article in our Research Papers category. I’m glad you were able to confirm that Aachen & Dr. Hölzle are already on our Doctors List. I’d done a very quick look after your last post & didn’t see Aachen on there. Obviously my very quick look was too quick! :zany_face:

1 Like