Hi, I recently saw Dr. Mehta in Phoenix who ordered a CTA and CTV for me. During the scan, I started to have a mini panic attack where my heart rate was elevated. My head didn’t move, which I know is important. I’m hoping my high heart rate won’t impact the images for Dr. Mehta’s review. Anyone know if this should be okay or if it might be problematic. Appreciate any insights some of you might have.
Heart rate should not have any effect on the imaging. What’s most important is that you were still.
Thanks for the quick reply! I was stressing about this.
It’s only a guess, but if you had a panic attack I would’ve thought that would increase your blood pressure, which could affect results, but potentially that might be a good thing as if there’s any compression then the pressures might increase? Not a medical opinion though & I could be completely wrong, I had IJV compression & head pressure was worse if I was stressed…
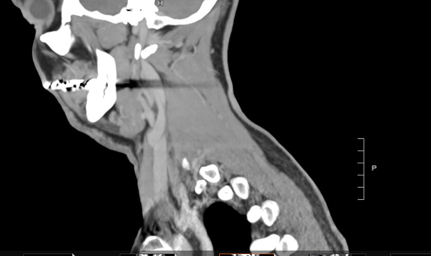
I got back some of my images from my CT scans. Still not 100 percent sure what ones I need to look at, so would love to input. Here’s one which seems to show left compression and I can’t tell if the right is a little compressed.
@tguerin18 if you would like, I could take a look through the entirety of your imaging and show you what I find. This would involve you putting all your CT files into a folder on google drive and then private messaging me a link to the folder so that I can download your imaging. You wouldn’t be anonymous to me anymore, but I would be keeping your personal information private. Let me know your thoughts!
Hey, that would be awesome. I will work on doing that and share the link with you via a private message. I really appreciate the offer!!
@tguerin18 see attached annotated images.
Just above the level of C1, both styloid make contact with your IJVs. The compression is worse on your left side, which is also your non-dominant (smaller) IJV.
At the level of C1, both IJVs are compressed, with compression much worse on your left. On your left side, both your styloid and C1 are contributing. On your right side, only C1 is contributing to the right IJV compression. Important to note that when the IJV is compressed at C1, so too may the vagus nerve(s), as they run between the IJVs and C1. Vagus compression could present as HR & BP fluctuations, anxious states, and stomach issues.
Further down, you have a long pocket of calcified stylohyoid ligament on both side. On your left side, the calcification comes very close to your left ECA. It is likely that the calcification does sometimes come in contact/compress the ECA with swallowing or certain head positions. ECA compression/irritation can radiate pain to the ear and down the length of the artery into the chest.
I have attached a 3D model providing rough measurement estimates of your styloids and also the calcified stylohyoid ligaments.
Reminder that I am not a doctor nor radiologist. Hope this helps.
I can’t thank you enough for annotating these images and generating the 3D model. It confirms everything that I’ve thought, but the key is to see if I can get a doctor to agree with me. Every time that I’ve mentioned jugular compression to one of my ENT docs, they shoot it down right away.
Dr. Mehta, who ordered the test, thought my left IJV was running outside of the narrow space, but it looks like me images show otherwise. I have my follow up with him next week, so I’ll provide and update then.
I also recently did a virtual appointment with Dr. Constantino, who was terrific and open minded about everything. I need to set up another meeting so he can review my CTV, and he also wants me to see an endocrinologist since I have empty sella and my pituitary might be flattened. He’s the first one to bring this up .
Thanks again for reviewing my images!
@tguerin18 no worries, happy to help! Glad you have a couple of doctors you’re in contact with. In your case, you’ll want to be sure that the surgeon you choose to go with has experience cutting the styloid above the level of C1 to ensure things open up. Might also need a C1 shave, but it’s always so hard to tell, especially when a styloid is contributing to compression. It’s possible that getting that left styloid out of there might be enough.
@TML has been really helpful, as always, with your scans! That looks like a very small gap between the styloid & C1 on your left side! I’m glad that Dr Costantino was helpful, it will be interesting to see his opinion on whether the C1 needs shaving too or if the compression is mainly from the styloid…Are you seeing Dr Nakaji as well?
I tried to schedule an appointment with Dr. Nakaji, but his office said he only accepts patients who had a CTV done by Dr. Mehta first. I have my follow up with Dr. Mehta next week. Fingers crossed that he sees the same thing we are seeing. When I had my initial consult with him, I got the feeling since my right jugular was flowing, he didn’t think I had a problem. It also looks like a have some compression on my right side too, according to the images TML pulled.
@tguerin18 - Dr. Nakaji won’t offer to do surgery for people whose venogram IJV pressures aren’t high enough i.e. high pressure indicates a level of IJV compression that is detrimental. We’ve had some members who had plenty of symptoms & visibly compressed IJVs in their CT scans but have been rejected by Dr. N because their manometry readings were too low.
Thanks for this info. I’m guessing that Dr. Mehta will think the pressure test is warranted based on my scans, but I’m not 100 percent sure of this. Do you have any insights on how they determine to move forward with the catheter test? Also, I’m curious if they do the catheter venogram, do they measure the pressure on both jugulars or only the one that shows compression on the CTV?
I’m pretty sure both jugulars get measured during the venogram. If Dr. Nakaji recommends a patient get a venogram, it seems that means he’s interested in what he sees in that person’s scan, however, it’s the manometry results that ultimately define whether or not he will choose to offer to do surgery.






