Does my styloid X Ray look normal or should i get a CT Scan?

Also, @Isaiah_40_31 is good at spotting this so can correct me if I’m wrong, but your neck does look quite straight @Happyface12e , it looks like it’s lost it’s lordotic curve (it’s called military neck), & can make ES symptoms worse…there’s some info & exercises which can help it in this discussion:

List of my favourite resources on YouTube to learn anatomy - General - Living with Eagle

1 Like

Not sure if these are the right images of not.

That’s an interesting point. My neck does look very straight. I thought that was a good thing until I just researched what you said. I will look into this more. I always have a painful or stiff neck, I have to click it sometimes to get some relief

1 Like

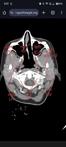
@Happyface12e not quite the right slice. Here’s an image of my C1 to help you know what to look for. Make sure you see the white circle in the top middle of the vertebrae:

1 Like

Thanks for sharing. Is this what you mean?

2 Likes

@Happyface12e perfect. See attached annotated image.

Your right IJV (left side of image) is pretty compressed between your right styloid and C1. Your left styloid is also touching your left IJV but not nearly as severely as your right side.

Additionally, your right IJV is your dominant (bigger) IJV. Major compression to the dominant IJV can significantly contribute to intracranial hypertension symptoms since the biggest mover of blood out of the brain is compressed.

Although I think you could benefit from bilateral styloidectomy, your right side should be of top focus. That is, unless the tip of your left styloid is compressing an artery or something which could take precedence over IJV compression. But assuming that isn’t happening, you definitely should see about getting that right styloid dealt with and specifically, cut above the level of C1. Don’t get a styloidectomy unless the surgeon specifically is able to cut the styloid above the level of C1 or you’ll wake up and still suffer from IJV compression.

3 Likes

@Happyface12e - Here are images of what the cervical curve should look like vs military neck.

I agree about your styloids being significantly elongated & will add oddly shaped, especially the right one. I’m also questioning whether or not the greater horns of your hyoid might have some contact w/ your carotid arteries but can’t quite tell from the images you posted.

1 Like

Wow thank you so much for your detailed response. I am very grateful for your help and this gives me so much information to research and ask the surgeon. I really am very grateful for this. When I received my Scan I honestly didn’t know what I was looking at and the information on this forum has been truly wonderful.

3 Likes

@Rosie Hello Rosie could you give more informations about doktors who consult for eagle syndrom with compression? name,adress, price..How to join them? i am a french woman.Thanks so much

@Happyface12e Hello when you say Turkey is ti Dr Karam Aghayed? If yes could you share what you can say about? Thanks

@Jules Thanks so much for the link…I will have a look because in france no doktor believe our symptoms! Have a great end 2025

2 Likes

Hi thank you for your message, there is a list of doctors which I believe @Jules has provided. Mr Axon is my consultant and he sees private patients under The Spire Cambridge. I had a private face to face appointment and the charge was £500 for 35 minutes, but this appointment confirmed I have IJV compression and an elongated styloid. I am sure if you contact The Spire they will be able to advise if you could maybe have a video consultation. You would need to provide your CT scan etc prior to the appointment to get the most benefit.

Let me know if I can be of any further help.

Rosie

3 Likes

There’s lots of info about Dr Aghayev in this discussion by @Perla which will hopefully be helpful for you:
Everything you need to know about Dr. Khamran Aghayev - General - Living with Eagle

1 Like

@Rosie thanks so much for your help! Do you know if Dr Axon performs the operation if the jugular veins are compressed between the styloid process and C1?

@Jules thanks so much.

Hi yes he does, depending on what he sees he will remove styloid and/or C1 resection if required.

2 Likes

He is very knowledgeable about IJV compression, and has researched pulsatile tinnitus, so if you have that as a symptom then if you do speak with him then mention it…He does have quite strict criteria of symptoms & if you don’t have those then he might not agree if surgery is right for you… He did both my surgeries (on our NHS), and did an excellent job!

2 Likes