Uploading: compression17.png…
sorry for late here you are glad to here your opinion
Uploading: compression17.png…
sorry for late glad to your opinion
Yes, I have something similar to mastoiditis. It feels heavy and sometimes hurts when I’m outside on a cold day. It also feels like a loud noise is coming from the mastoid bone.
@NoneElongatedStyloid I can’t see the image you are trying to upload. When you upload it, just wait until it’s fully loaded before submitting the post.
@NoneElongatedStyloid- Do you have more discomfort in one mastoid or the other or do both sides hurt the same amount?
Most of the pain is on the left side
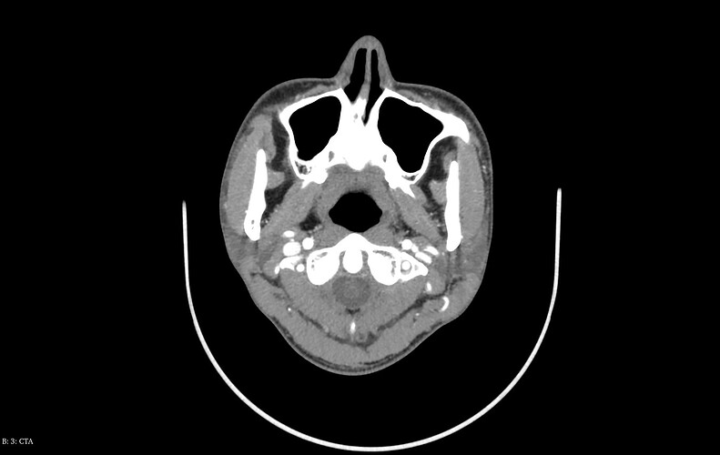
I can’t label images, & I’m going to leave @TML this one to look at, you have alot going on in there! I would guess a flattened IJV on your left, but won’t comment on anything else!
thank you i I agree with you
@NoneElongatedStyloid see attached your annotated imaging.
Your left IJV appears to be compressed between your c1 and your styloid. I’mpretty sure your left styloid is the one I have labelled in the top right of the picture, but there is also a white dot between your left ICA and left IJV and I’m not sure what it is. It’s likely another blood vessel or something? Your right side seems pretty okay. That being said, I think your hyoid greater horns are contributing to your symptoms, particularly your right greater horn.
Omg another problem. Need to gonna shave greater horn right one or both?
@NoneElongatedStyloid I’m not sure if you saw it, but a week ago I uploaded this annotated image of your greater horns. You can scroll up to see what I had to say about it and why I think it’s causing you problems. I think your right greater horn is worse since it’s touching your right ICA. But I think the left should be removed too.
Are they too close together? Isn’t that why they’re not circular?
@NoneElongatedStyloid not sure what you’re referring to when you say “they’re”, do you mean the ICAs? At this level the ICAs and ECAs start coming together to form the carotid sinus, so they start blending together. That’s normal. What’s not normal is your greater horns being as close as they are to the ICAs/ECAs, particularly on your right.
Their meaning is blood vessels im now nervous about another surgery ![]()
But is this surgery a spinal neurosurgery or a head and neck surgery?
Head and neck surgery. And the greate horns can be removed at the same time as your styloids if the surgeon is familiar with both syndromes
Thank you Can doctor access it through the same incision site? Then amazing
Yes! I have an upcoming surgery where they are going to make a 4cm or so opening in the side of my neck and access both the styloid and greater horn.
In the mean time I suggest not putting pressure near the side of your hyoid bone because I’m pretty sure your breathing scare was due to a vasovagal response from your greater horn putting pressure on your ICA.
I’m not sure if you are a thinner person or not, but thinner people have a stronger vasovagal response. So the combination of being thinner with a bone sticking into the ICA can be enough to cause carotid sinus hypersensitivity symptoms.
Im very skinny I am 180cm tall and when I was healthy I weighed 55kg and now I weigh 48kg.
I really envy you. Where in Korea can i find a doctor who fully understands this disease and even performs surgery on the hyoid bone and sytloid process same time?


