Hello, I am a 27-year-old man living in Korea. My symptoms began in 2016 after a whiplash injury, starting with increased intraocular pressure in my left eye, accompanied by a sensation in my neck like sand grinding. At first, it was only elevated eye pressure, but from 2017 I started experiencing symptoms similar to Horner’s syndrome — when reading letters, my eye would tremble, I felt confused, and diplopia (double vision) appeared as well. Since 2017, I’ve also had a symptom where my head feels like it is shaking, which I attributed to high blood pressure.
In 2018, I underwent CTA and MRA scans, but both my doctor and a radiologist found nothing. I gave up and tried to endure the symptoms, but eventually my physical strength declined.
In April 2024, while pressing around the C1–C2 area myself, I suddenly developed breathing difficulty and had to call an ambulance. At a large hospital emergency room, I asked them to focus on my neck, but because of pain near my scapula, they only suspected aortic dissection and did not scan my neck. Since then, my condition has worsened significantly.
After researching, I realized they had not scanned the veins, so I initially suspected Bow Hunter’s syndrome, but later realized that wasn’t the case and felt hopeless. Soon afterward, I learned about Eagle syndrome and jugular vein compression, and last month I underwent CTA and CTV simultaneously.
An ENT doctor told me there was no abnormality, but I think I can see signs of venous compression myself. I also have atrial fibrillation, and when I bend my head downward, it feels like it places a burden on my heart. The symptoms similar to Horner’s syndrome have disappeared, but the diplopia still remains. In the early stages, I also experienced dizziness when turning my head, but that symptom has since resolved.
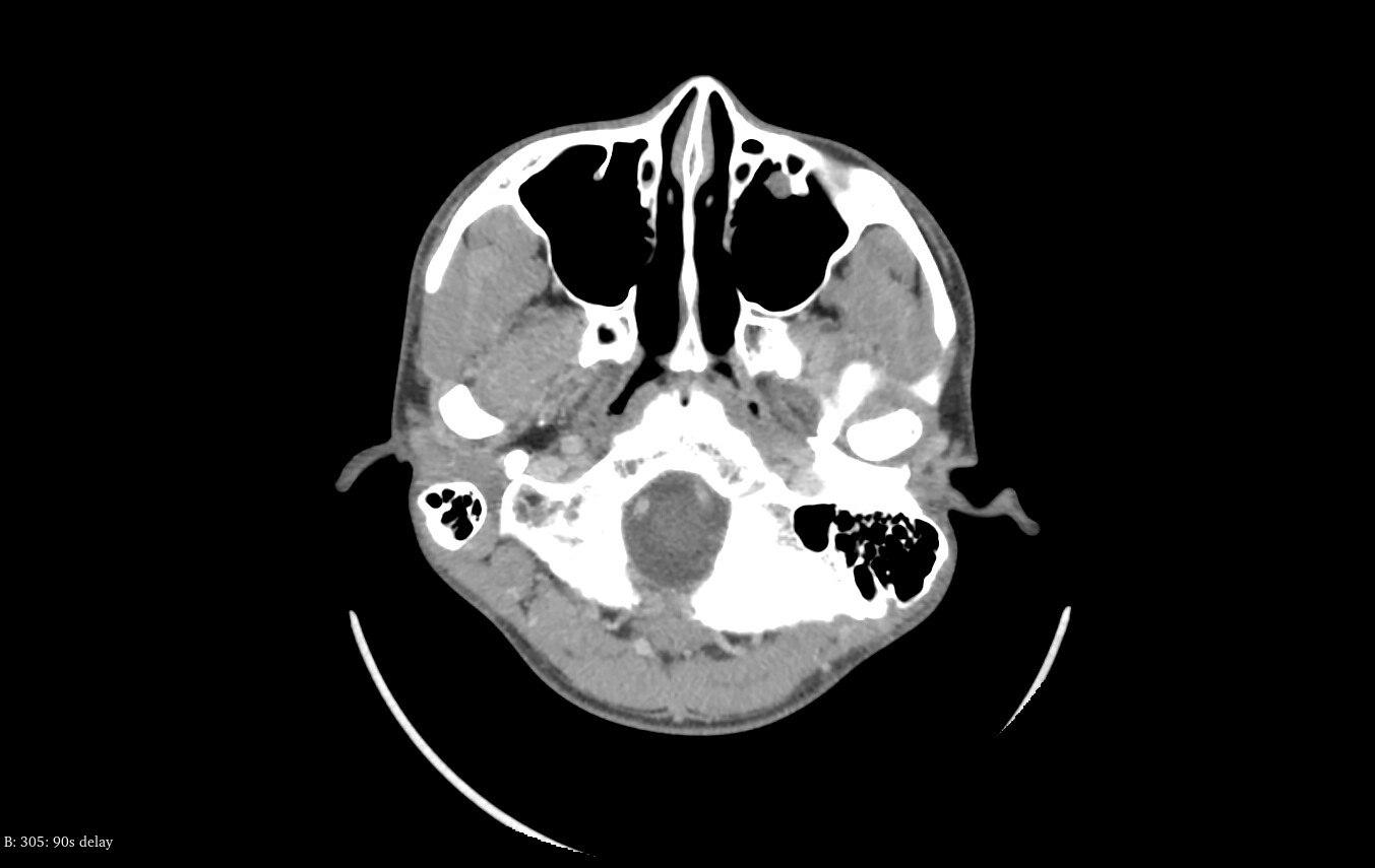
I don’t know whether my left-sided torticollis is the cause or the result, but it seems that the left C1 is larger and angled more downward. The styloid process is not particularly elongated, but perhaps because of the torticollis, the angle looks problematic.
Last week, an ENT doctor performed a palpation. The right side was fine, but the left side was quite painful, and it is still painful now. and fully feeling my vein compression!
i need instant surgery whatever removal styloid process or c1 lateral mass shaving or both!
What do you think? Thank you for reading.



















