Hyoid bone

@Calista21269 see attached annotated imaging.

I’m beyond confused by your imaging. You either had your head turned during imaging, or your CCI/AAI is out of this world.

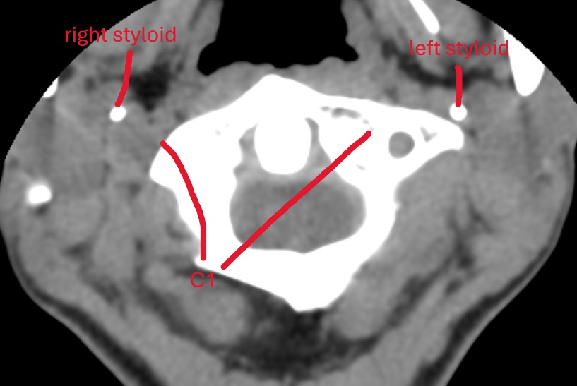
This is the image you attached earlier of your C1 in the axial view:

your styloids are a safe distance from C1 with lots of room for the IJVs and nerves

and then here is the CT scan from this year (I think this month?) of your C1 and styloids:

Your C1 is pointed the opposite direction and the styloid is essentially making contact with C1.

I’ll be honest now that I am seeing just how much a C1 can shift with CCI/AAI, I do wonder the implications of removing a styloid. But either way, you don’t want a styloid smashing against C1. So I’m not sure if craniocervical fusion or other CCI treatments have been discussed with you? The problem some people run into with fusion is that when the fusion happens sometimes the styloids are too close to C1 afterwards and in a fixed position. I have seen cases where people have gotten both fusions and styloidectomies and I wonder if this would be appropriate for you or not. I am not a doctor or radiologist but this difference in C1 positioning and in turn styloid positioning has really intrigued me.

I haven’t commented on anything about the hyoid because I can’t really see anything since the CT is without contrast.

2 Likes

I had my head on a base, I don’t know if it was twisted or not for the last scan… I had a CBCT flexion extension rotation and tilt in Barcelona and Dr. Oliver didn’t note that it was out of the norm. I have the report I can show it to you, so maybe the last scan they positioned me badly? Those who worked there seemed to be incompetent. Dr. Oliver didn’t offer me surgery in my case, only physiotherapy for the moment.

3 Likes

Oh gotcha. It still surprises me that a head turn can close the styloid-C1 distance that much. I do wonder if your CCI/AAI exaggerates the distance changes. I think it must since loose ligaments would increase the amount of mobility of C1 and thus bring it closer to the styloids in certain head positions.

The report that you DMed me says that you show CCI and AAI with the flexion study so I think you definitely need to consider what to target if you are going the surgical route.

Do you have access to that CT? I can take a look at it and see how much the styloid-C1 distances change with flexion vs neutral vs extension

2 Likes

Because even if your head was twisted that much movement I don’t think is normal. If that were the case, I think there would be A LOT more people in this forum because everyone would be smashing their styloid off of C1 and nerves/IJVs with every head turn

2 Likes

Wow thats a huge difference between scans!

2 Likes

So I may have to fix the hyoid bone problem if I can see Dr. Chhetri or Dr. Dewan for the diagnosis, then fix the CCI problem. For the diagnosis of hyoid bone syndrome is a CTA scan mandatory?

There wasn’t even a year between the two scans, so I think my head was turned, but like you say, it’s still not normal.

1 Like

I have this CBCT scan but only in Dicom format, I have no possibility of making a link because it was on a CD that I had to download, I can only send it by email I think with wetransfer

1 Like

I think a CTA would be great because then you can see if your greater horns are digging into any important vascular structures, namely the ECA, ICA, or carotid bifurcation. The CTA will be helpful too in looking at your IJVs at the level of C1 (sometimes CTAs failure to capture veins with contrast though since it’s timed for contrast in the arteries)

3 Likes

Okay, thanks. Have you been diagnosed with HBS?

2 Likes

Yes! Getting my left greater horn and left styloid removed hopefully in October. Just waiting for the surgery date. My right side should probably be done too, but my left is way worse. Greater horn is digging into my carotid sinus. And both styloids (especially my left) are compressing my IJVs.

3 Likes

I hope you get better ! Who are you having the operation with?

Does HBS also cause you symptoms with the soft palate, like pulling on the tensor muscles of the soft palate, etc.?

2 Likes

I’m from East coast Canada so getting it done by an ENT in Halifax.

It’s hard to say what exactly is causing what for me. Because I have the IJVs compressed at C1 by the styloids, my left styloid is 1mm from my ICA, both IJVs are compressed between my SCMs and anterior scalenes, my left greater horn is rubbing against my carotid sinus, my right greater horn is 1mm away from my cervical vertebrae, and both side of my thyroid cartilage are rubbing against my CCAs. So I have a lot going on. Hard to pinpoint exactly what are causing specific symptoms. I suspect that my hyoid and thyroid issues only exist because of my styloids being elongated and “throwing” them around with head movements, and that I guess would cause some tension of the suprahyoids ans tongue base

3 Likes

You’ve studied the thing well in any case, I hope it will work out for you

4 Likes

Thank you!!

2 Likes

@Calista21269 as @TML has demonstrated, some of our members have both ES & Hyoid Bone Syndrome & both ultimately need to be taken care of for the best chance at symptoms relief.

It is interesting how different your scans are. A CTA was suggested but it is somtimes possible to get a CTA & CTV done during the same scan session. You could ask about that then it would be easier to see what is happening to your carotids & jugulars.

I hope your appt. with Dr. Martini is soon, that Dr. Dewan’s ofc. gets back to you ASAP, & if not, that you’re able to get ahold of Dr. Chhetri’s or Dr. Smith’s offices quickly & get a quicker response from at least one of them than you have w/ Dr. Dewan.

3 Likes

Yes, I will keep you informed if I manage to contact them

2 Likes

It wouldn’t help you with getting surgery, but if you wanted another good opinion & a diagnosis, Kjetil Larsen at MSK Neurology has done lots of online consults for members, he’s spotted things on scans which radiologists have missed, you could try that otherwise?
Home - MSK Neurology

3 Likes