@Coco1 - If anyone can help you, Dr. Osborne can. He is very experienced w/ ES surgery. The only thing is, if he removes the styloid on the side where it’s very close to your C1 vertebra, & the IJV doesn’t open, he doesn’t do anything further so you might need a second surgery to have a bit shaved off your C1 vertebra to make more room for the IJV so it can open fully. It would be worth asking him if he feels cutting the styloid back is enough to allow your IJV to open up before you go all the way to Los Angeles for surgery.
Oh good to know, thank you!!
Thank you so much for taking the time to do that!!
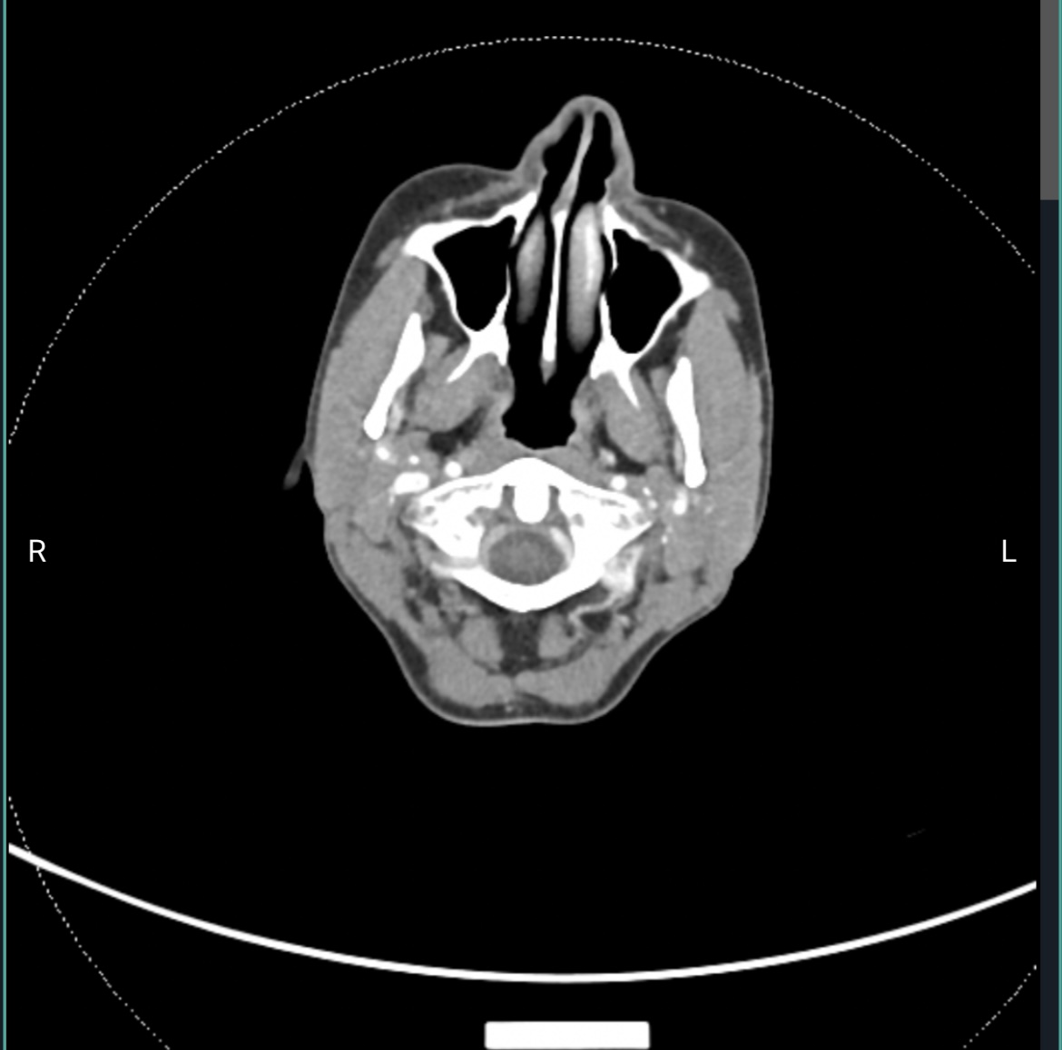
@Coco1 are you able to show me the axial view at the level of C1? I can check if your IJVs are getting compressed between your styloids and C1. I’ve attached my own imaging to help you locate C1. It’s the top vertebrae with wings and a white circle in the top middle!
@Coco1 see attached annotated image.
Your left styloid is really close to your C1. This poses a potential issue for your left IJV and left vagus nerve, since typically, the IJV and vagus nerve are between the styloid and C1. However, I don’t see your IJV there. Maybe this is because it doesn’t have contrast in it, or it’s because it’s further out to the side (where I labelled “left IJV?”). Nonetheless, the styloid should not be that snug against C1 because it risks irritating and/or compressing nerves.
On your right side, the styloid seems to be an o.k distance from your IJV. The IJV may have some compression against C1, but not sure if this is enough to cause problems.
I’m just noticing this as I write this, but the white glow in the bottom right of the image that hugs along the bottom of the C1 transverse process appears it could be a collateral vein. We typically develop these in response to IJV compression, so the blood can flow out of the brain. The fact that this is on the same side (i.e., your left side) as the styloid that is abnormally close to your C1, I suspect your left IJV is being compressed.
That is all incredibly helpful, thank you so so much! I really feel a lot better understanding what could be cause all these weird symptoms!
Hello, me again
I figured out how to download the radiantviewer and open my images in it, is the styloid ligament in these pics? The left side is for sure all jumbled looking…thank you for any input!
The right side IJV is pretty big, it looks like the C1 process is pushing a bit on it but doesn’t look too compressed compared to some we’ve seen…the left side is a real jumble as you say! The IJV just disappears…
Thank you so much for looking at it, I wonder if it is jumbled because of the styloid ligament taking of its space? Is it very strange that the left side disappears or have you seen this before? ![]()
@Coco1 you have a lot of “stuff” happening down around your hyoid. Lots of blood vessels/veins around the area that I don’t typically see. And it causes us to have a hard time seeing your hyoid bone.
If you feel comfortable, I can take a look through your imaging and see if I can spot anything (besides what I pointed out earlier with the axial slice of C1). If you want, you can add your dicoms to a google drive folder and private message me a link to it. I would not be sharing any of your personal information and your imaging would not be stored permanently on my computer. I’m not a radiologist but I can try my best. I’ve helped members previously this way and they found it quite helpful!
That would be amazing thank you! I will try to figure out how to do that ![]()
@Coco1 - In the first of the 3 images you posted, it looks like your left ICA does a partial wrap around your C1. It’s already small coming out of your skull, does the wrap then gets even smaller. I can’t see much of your left IJV on the front side.
Your stylohyoid ligaments aren’t visible in the images you posted because your mandible is in the way in the two images where we should be able to see them. If you can get an angle that looks under the jaw or if you can cut away the jaw so we can see what’s behind it, that would allow us to see your calcified s-h ligaments better.
The circled area is where it looks like the IJV is partially wrapped around your C1 on the left side.
Thank you so much for your help, ok I will try to get more images to see the styloid better😊
@Coco1 Did you get to meet with Dr. Ladner in Brussels ?
Hello! I never did meet with him…but today I met with Dr. Schmitz, she also does the ES surgeries. She does not think I have ES though, I will start my having my enlarged lymph nodes removed to see if that helps ![]()
Dr Cora SCHMITZ ? Isn’t because she’s from these doctors that consider eagle syndrome just as “very elongated styloids” (usually 4/5cm) ? And not consider Jugular Eagle syndrome or C1 compression of the IJV ? And is she the done that will perform the enlarged lymph nodes surgery ?
And if I am not mistaken you had a talk with Dr. osborne who confirmed you had some kind of variant of ES ? (Did he write you a report ?)
Dr. Sandra Schmiz will remove them…Yes you are correct, she thinks mine just are not long enough and wasn’t concerned about the compression. But I am also worried about the lymph nodes so agreed to start with this. And yes Dr. osborne and an italian dr believe its the compression from the styloid so I have been very confused about what to do. I hope to get a ct venogram soon too
@Coco1 - There are too many doctors who don’t believe a person has ES if their styloids aren’t beyond a certain length. This is an incorrect belief as even normal length styloids can cause ES symptoms & IJV compression if they are unusually thick, curved, twisted, very pointed, very angled in the way they are growing, etc. We’ve even seen pictures of some of our member’s styloids that weren’t very long but causing symptoms. One had styloids with small “branches” growing off of them & another had what looked like small barbs. Some have also been knobby i.e. had bumps growing on them. All these irregular features don’t require styloids to be long in order to cause symptoms. Since you have symptoms of vascular compression & have had 2 very experienced ES surgeons tell you so, it would be a good idea to trust their judgment.
Styloids that are causing other problems can also cause enlarged lymph nodes. It is a good idea to have yours removed to see if helps reduce any of your symptoms, but there is a good chance having them taken out won’t be the solution to the worst of your symptoms.
Please let us know how your surgery goes & how you’re feeling afterward.







