New :) Thank you for any help!

Hello, I was so glad to find this online community and have been following along awhile hoping for answers. I am 37 and for over 5 years I have had reoccurring pain in my ears, then in my jaw, then electric like pains in the front and side of my neck. Now I get shooting pain in the back of my throat, shooting pain at the back of my tongue, mostly always on the left side and once in awhile on the right. My lymph nodes feel swollen on the left side too and I wonder if it is tonsil related too. Lately I have pain under the left of my jaw towards the front too.

For years doctors told me it is TMJ, and while I do grind my teeth it feels like so much more than that. The pain used to come and go but now it is almost constant.

Over the years I have had many mri’s and ct scans trying to understand, the most recent with contrast. Last year a doctor brought up eagle syndrome and I sure hope to have an answer soon. My next dr apmt isn’t for awhile so I was hoping someone might be able to help me understand my images to see if it could be eagle syndrome. 2 doctors said it might be but that it would be bilateral so thats unlikley. I really appreciate any help!!



@Coco1 - Welcome to our forum! I’m sorry you’re having so much pain, & that it’s been going on for so long. Bilateral ES is not uncommon. Many of our forum members have or had bilateral ES. The symptoms you listed are consistent with symptoms we know can be caused by ES, & after looking at your images, it looks possible that your stylohyoid ligament(s) & possibly hyoid bone are the cause of yours. The pain you have is caused by nerves in your neck. Swollen lymph nodes & a very sore throat can also go along w/ ES. If the styloids are very curved, they can poke into the tonsil area in the throat so that could be why you’re feeling pain in your tonsil area. I had pain under my left jaw & could actually feel my styloid under there. It was a hard lump, & I thought it was an inflamed lymph node or salivary gland.

The first picture you posted is the best. Do you have a similar picture of the other side? I can’t really see anything helpful in the 2nd & 3rd pictures.

What I noticed is your styloid doesn’t look very long but you have a calcified section of stylohyoid ligament which is pretty thick so that could be contributing to your symptoms. The greater horn(s) of your hyoid bone also look quite long, nearly touching your spine. They can also cause symptoms when they are too long (Hyoid Bone Syndrome). The last observation is that you appear to have significant forward head posture which is caused by your cervical spine straightening out. It has lost its natural lordotic curve. When the cervical curve is gone, the styloids & stylohyoid ligaments, if calcified, sit much closer to the nerves & vascular tissues in the neck & are much more likely to cause ES symptoms.

The lordotic curve can be restored through gentle neck exercises & physical therapy, but it’s a slow process & requires dedication to do so. There are also neck orthotics such as the Denneroll that can help restore the lordotic cervical curve: Cervical Combination Order

Here’s a discussion that has good information about exercises that can help, too:

I annotated your first image to show you the styloid, stylohyoid ligament, & greater horn of your hyoid that could all be contributing to your symptoms. You can see how straight your cervical vertebra are in that picture.

Below are pictures of a proper cervical curve vs a straight one:

The only doctor in your country we have on our Doctors List is Dr. Ladner. Having a consult with him would be helpful.

•Dr. Thierry Ladner, Hospital CHIREC, https://www.doctoranytime.be/d/stomatologue/ladner-thierry?utm_source=gmb&utm_medium=organic&utm_campaign=profile

2 Likes

Wow this is way more helpful than anyone else has been. Thank you so much!! Here is a photo of the left side too, I meant to add before. I am so excited to check into all of these suggestions!

2 Likes

I was also going to ask if anyone notices the pain flaring up when sick with a cold or allergies? Maybe they aren’t related but sure makes the pain worse, maybe because of inflammation pushing on the nerves?

1 Like

I agree with everything that @Isaiah_40_31 has said, she’s covered it all as usual! Looking at the new image you posted, the styloid & calcified ligament look longer, & it also looks like there’s not that much of a gap between it & the C1 process, which can cause symptoms as blood vessels & nerves can get compressed between the two, although it may just be the angle… It’s certainly worth seeing someone with experience with ES if you’re able!
It might also be worth asking your doctor if your thyroid cartilage is normal, as it looks quite calcified too, but might be wrong about that…

2 Likes

Thank you so so much too for taking the time to look at the scans! Really hope I am headed in the right direction finally :sweat_smile:

2 Likes

@Coco1 - I agree w/ @Jules about the thyroid cartilage, too, but I’ve seen some similar thyroid cartilage images & was told they were normal. It’s worth asking about though.

YES! This is very common. Symptoms can also flare w/ the menstrual cycle & w/ weather - most commonly with rain, cold or fog.

1 Like

Thank you! Might explain why my symptoms have gotten so much worse since moving to a rainy country! Really really appreciate all of your help! I am finally feeling hopeful about this situation!

2 Likes

Hi again, not sure I am posting in the right area :squinting_face_with_tongue: so I went and had a video consultation with Dr. Osborne about my images. He confirmed on my left the styloid ligament is 1.9mm from the transverse process, versus 10mm on the right. He also saw there is an artery wrapped around my left styloid . Wish I could post the pics but he was able go see CT images that I can’t see when I log in.

Are these spacial differences a common reason for having pains? And the wrapped artery? My pains being mostly left ear and throat pain. He seemed pretty confident that ES is the reason for my pain and I am so desperate I am seriously considering doing the surgery with him. I am just concerned about spending all that money and it not solving the problem. Thank you for any feedback in advance :slightly_smiling_face:

2 Likes

A styloid only 1.9mm from the C1 process is making a really tiny gap! So very likely that it would be compressing the Internal Jugular Vein I would think- have you got any vascular ES symptoms like dizziness, off-balance feeling, head pressure? The vagus nerve is close too so that could potentially be compressed which can cause anxiety, digestion issues or cardiac arrhythmias… Having an artery wrapped around your styloid could perhaps cause symptoms like dizziness, eye pain, fainting or stroke like symptoms… The 10mm gap sounds less likely to be compressing anything between the styloid & transverse process, but the angle of the styloid can still irritate nerves, that needs to be considered too. Ear & throat pain are possibly caused by the glossopharyngeal nerve, the vagus nerve which are commonly compressed by the styloids. There’s some info here:

ES Information: Common Symptoms And Possible Explanations For Them - Welcome / Newbies Guide to Eagle Syndrome - Living with Eagle

Obviously we can’t say for sure that your symptoms will resolve after surgery, and no doctor will guarantee this… personally, it would worry me that an artery is tangled with the styloid process, and I would want to have the styloid removed with as competent doctor as I could. When I had nerve pain from ES I could manage that with medication and heat, but it sounds as if your pain is way worse than mine was. It was when the vascular symptoms started I made the decision to have surgery. But it’s a difficult decision to make when you have to travel abroad for surgery and have to pay for it!

Also did you het to ask about your hyoid bone & whether in his opinion it might be causing some issues?

2 Likes

Thank you so much for your input and helping me understand all of those things being compressed! Yessss I am so so dizzy the past few weeks and have felt like fainting almost constantly, also have eye pain now. Seems like its just getting worse quickly. I am so confused why my other doctors didn’t notice these things. Embarassed to say that I forgot to ask about the hyoid bone…

4 Likes

Poor you, that is hard, it does sound as if it is worsening and surgery may well be the right choice if it’s possible for you to travel to see Dr Osborne. I don’t know about health care in Belgium, but some Canadian members have appealed for their surgery costs to be covered because there’s nobody experienced enough to do that surgery, do you think there’s anything possible like that?

1 Like

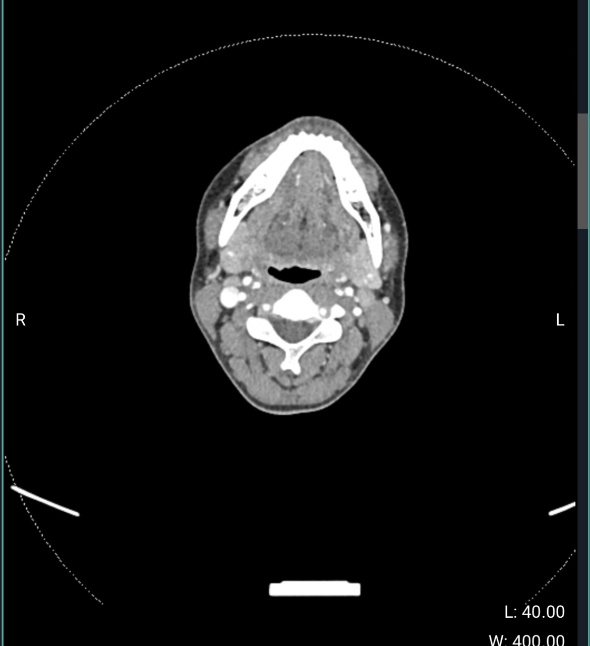
@Coco1 If you go into the axial view of your CT imaging I can help you locate the hyoid bone to see if the greater horns are contributing to any of your symptoms.

See attached some examples to help you locate it. It will look like a horseshoe. Sometimes the whole hyoid can be seen in one slice, but often the greater horns are slightly higher since the hyoid is typically angled. The greater horns are what we are interested in seeing.

1 Like

Thank you so much! Is this helpful at all lol? I have no idea what I am doing :sweat_smile:

That is a great idea and I will check into that thank you!

Is this a CT with contrast? If so, odd that the soft tissues, arteries, and veins are all the same shade grey?

Ahh sorry these were from my normal ct…these are the contrast ones…

@Coco1 can you go up a slice or two from this image and follow the bones until you come to the ends of them? Should be one or two slices id imagine.

Sorry, really appreciate your help! Not sure if I did it right…

@Coco1 see attached your annotated imaging.

Looks like your greater horns are in the clear, if that’s what I’m seeing. I labeled your ECAs, but less confident in labeling your IJVs and ICAs because one of them on the left side looks to be missing contrast at this level.