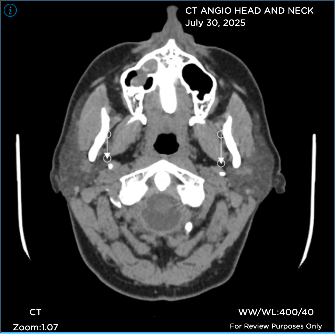
Hi folks. Like many of you, I’ve been on a miserable journey for years now. I’m just diagnosed “officially” with Eagles yet, but my provider said she sees elongated styloids on both sides, and she has referred me to Hepworth and recommends styloidecomy(ies).
When I wrote in to join the group a couple of weeks ago, I noted that I was 8 months post-blood patch (my 5th) for a CSF leak; I now think I’m leaking again. Grrrrr. When I’m not leaking, I have terrible Rebound High Pressure headaches (spikey-leaky syndrome). I’ve had chronic migraines, thunderclaps, etc. for several years. I was diagnosed with fibromyalgia about 10 years ago, then central sensitization syndrome, the occipital neuralgia and chronic migraines, then thunderclaps.
I had surgery for my occipital neuralgia (back of my head and neck) in Feb 2022, and while it helped decrease my migraine frequency from every day to about 8-10 a month (fabulous!), I had a really awful recovery and only found out 1.5 years later that I had a CSF leak. I believe the leak was somehow triggered by the ON surgery – perhaps by all the swelling after. I’ve felt WORSE since the surgery, and seem to add diagnoses regularly now.
I started seeing a functional med provider (we call her my FMC – functional med chick) this spring who has diagnosed me with a bunch of stuff: EDS (I have a family history, including a first cousin with vascular EDS), POTS, Mast Cell Activation, Long Covid, chronic Epstein Barr virus (mono!) and probably other stuff I’m forgetting. Oh, lots of mold toxicity.
Prior to seeing her, I’d been dealing with a CSF leak (5 blood patches to date), chronic migraines, Central Sensitization Syndrome/fibro (basically whole body pain), etc. When my FMC looked at the imaging I finally uploaded, she immediately noticed elongated styloids on both sides and she recommends styloidectomy(ies).
I saw Dr. Osborne last week and he was rather dismissive. He said he could go either way on whether I need surgery. He said the question is, “could you see yourself living this way for the next 10 years?” and I immediately responded, “NO!”
I keep chasing something - anything - that could “fix” me. I’m not sure if this is the right thing to chase now.
Primary symptoms at this point (Nov. 2025):
(1) Head pain/pressure: varies from day to day but I’m never below a 5 on the pain scale and my average is 7. I’m a walking barometric pressure monitor and seem to have become more sensitive to pressure changes recently. My migraines and thunderclaps have also been more active recently – Ajovy is amazingly helpful, but I get bad “pulses” of sharp pain.
(2) Fatigue. Totally debilitating. I sleep 12-15 hours a night and am NEVER rested. After any major activity, like a trip to visit one of our kids, I do a “Super Sleep” that lasts 36-40 hours. Presumably this is mostly due to Long Covid and EBV. The only thing that has helped my energy is fludrocortisone (steroid) but that increases my head pressure significantly. We’re going to test my adrenals next.
(3) Heart/POTS issues: during a POTS flare (I’ve been in a flare up since late July!), my heart rate goes nuts when I stand up and I really can’t be vertical for very long.
(4) CSF Leak: Now that I’m leaking again, when I’m vertical I get super nauseous, my brain sinks into my neck and makes my head just feel WEIRD, I forget words, I have zero appetite, I get dizzier when I stand and wobblier than usual when I walk.
I live in LA with my husband and two kitties, Mo and Potato; we have 21 year old twin daughters who graduated college in the spring and are living their best lives in Boston and Santa Cruz. I stopped working last year and I’m about to apply for disability. I’m a “recovered” lawyer and had a consulting business working with charter schools and non-profits in education, writing charter petitions, major grant applications, etc. I’ve gone from being very Type A, over-working, productive and social person to basically being a shut-in and going from bed to couch. It’s awful! I’m grateful to have found this group.






