Hi, my name is Igor. I am originally from Poland but currently live in the Netherlands. I have been struggling with what seemed to be post-concussion syndrome following an assault. It is true that I initially had a concussion. It took me 10 years for my symptoms to resolve to the point where I could function close to my old level. The symptoms were severe cognitive issues that took a long time to improve, such as, fatigue aphasia, slowed processing speed, depression, anxiety, headaches, pressure on the top and side of my head, blurry vision, nausea, and severe sleep disturbances, among others. However, these symptoms were slowly resolving.
After about a year, I was 95% back to my original functioning. Then, I bumped the back of my head where it connects to my neck, and my deficits returned—not as severe as initially but still strong enough to cause trouble in daily functioning, especially with cognitively demanding tasks. I originally thought I had reconcussed myself or caused neck instability.
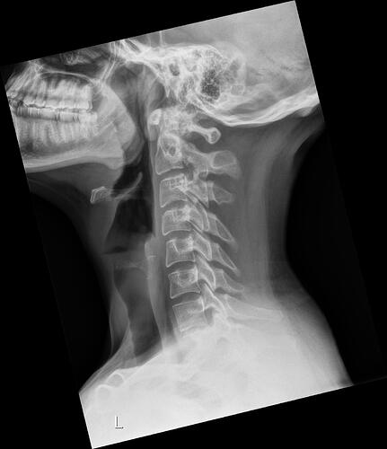
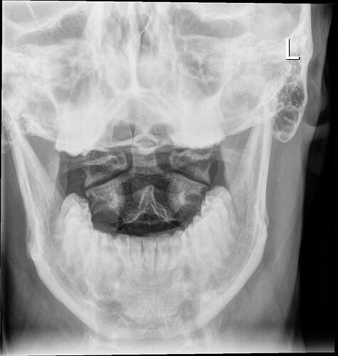
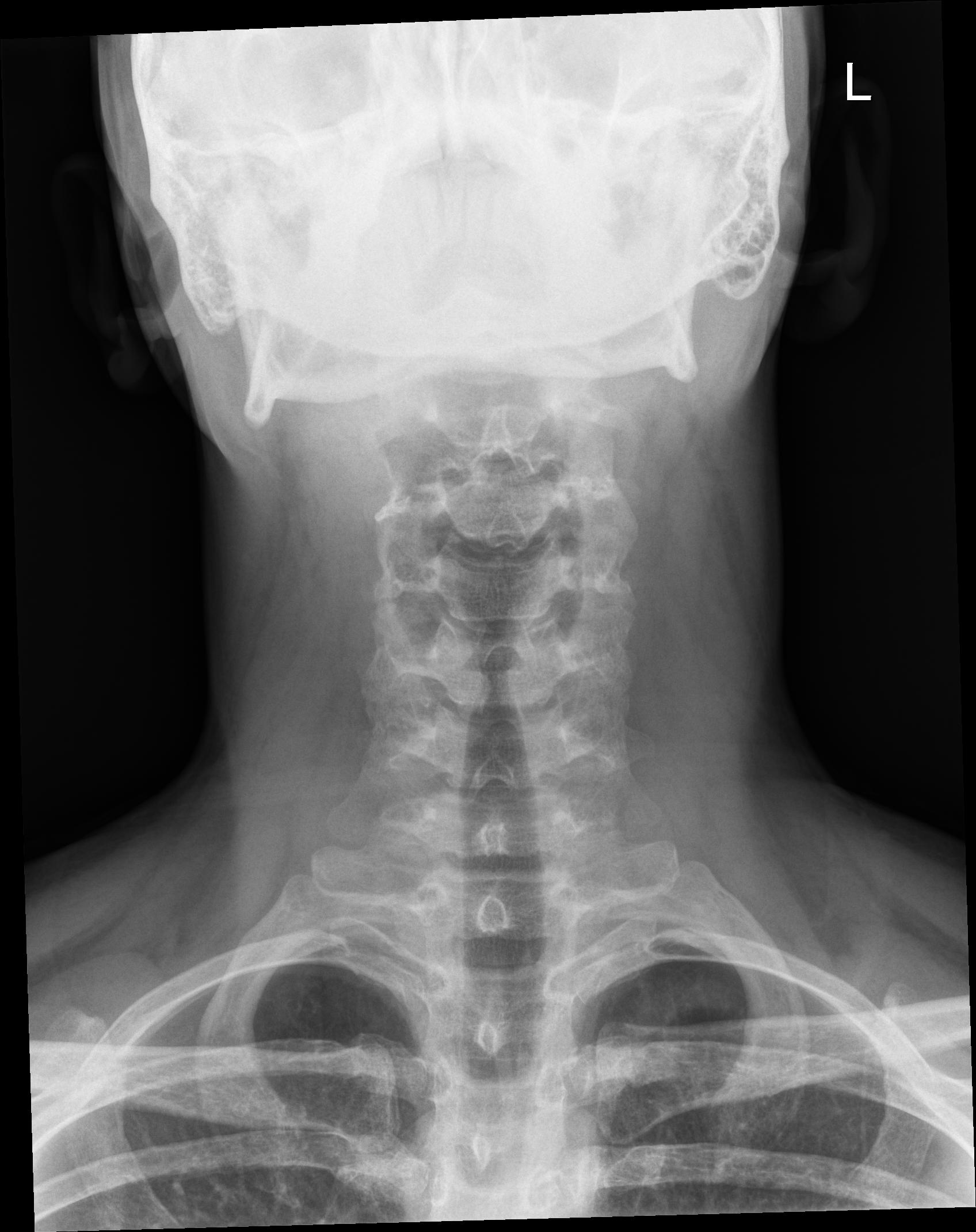
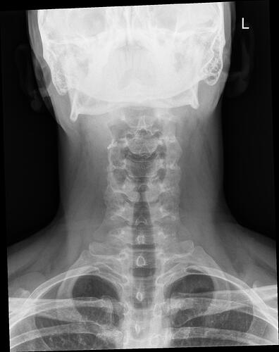
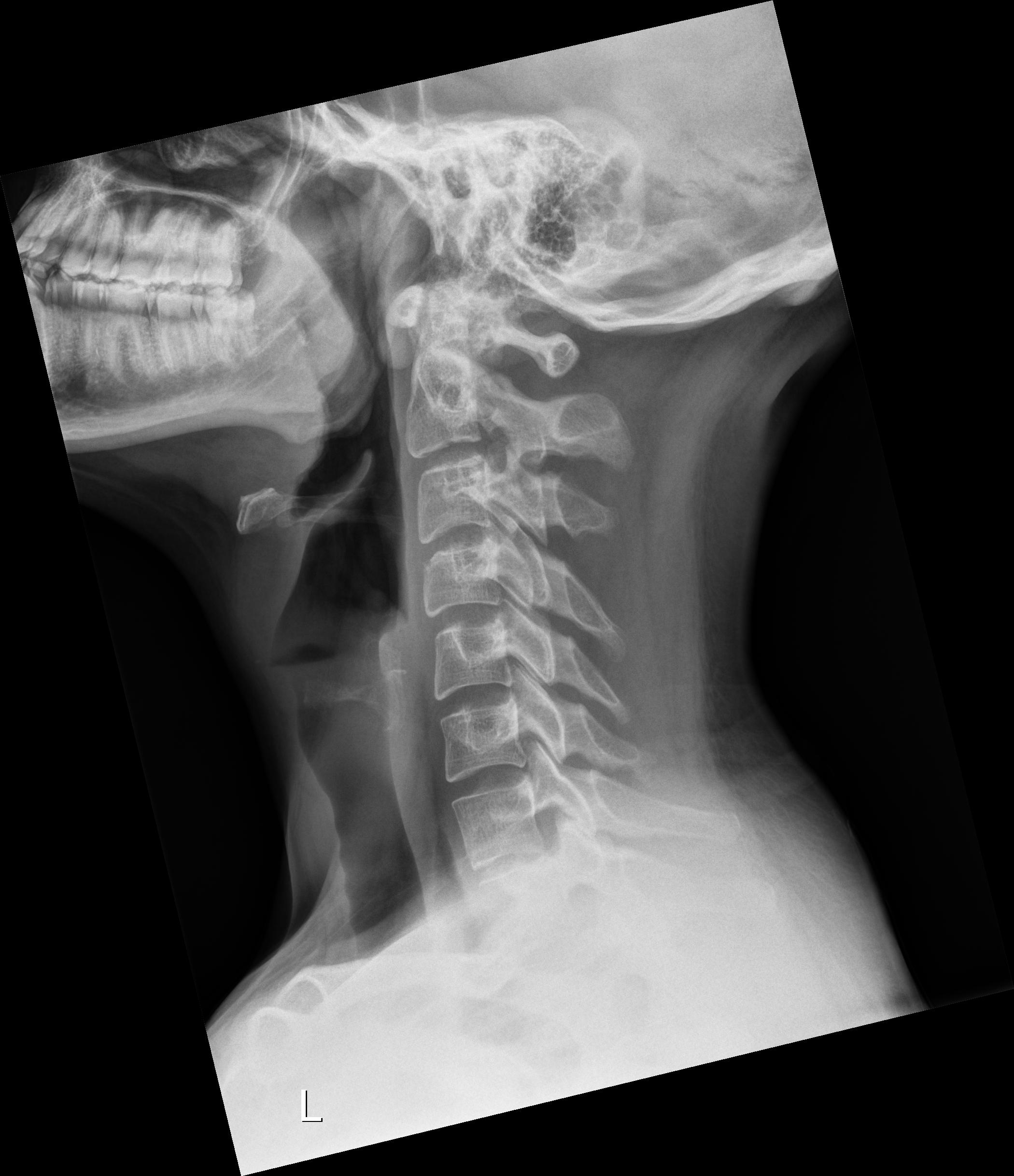
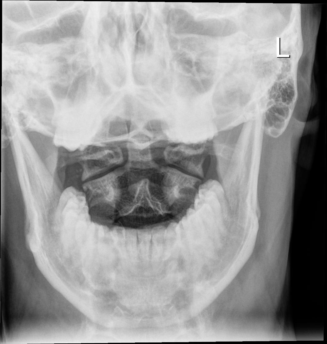
A few days ago, I started having swallowing difficulties. When I reached to the back of my mouth with my finger, I was shocked to feel a bony structure instead of the normal soft tissue. Since it was late and I had little access to my GP, I used ChatGPT, which suggested it might be Eagle syndrome. I then did some research and found your group.
I had an MRI with DWI technology done in the third or fourth month of what I thought was concussion recovery, and it showed no signs of lesions or deterioration. So, my symptoms don’t entirely align with a simple concussion, because they were improving over a prolonged period—much longer than typical for concussion.
The re-injury happened when I hit my neck trying to lie down on my bed (I know, kind of stupid of me). Since then, my symptoms have remained stable.
After re-injuring my neck, I immediately experienced nausea and balance issues—for example, I could no longer stand on one leg with my eyes closed, a simple test I used on myself. My cognition worsened again that day, but it improved after two weeks and then plateaued. The re-injury happened when I hit my neck trying to lie down on my bed (I know, kind of stupid of me). Since then, my symptoms have remained stable.
I did some neck work to see if I could trigger symptoms and, Eureka, I started getting nausea and headaches again. Since then, my symptoms have stayed the same.
What worries me is that my oxygen supply to the brain may have been limited for so long that it caused structural neural damage. I will ask my GP and push hard for a CT scan of my neck. But I want to ask you: have any of you had similar issues, and after the operation, did your symptoms—even if severe initially—resolve completely, especially cognitive ones?
For me, my high cognitive skills have always been a source of self-worth. I’ve been wondering if I will ever regain my old self and intellectual proficiency or if I will remain disabled for the rest of my life. I have already decided that if surgery is possible, I will undergo it without hesitation. An 80% chance of symptom resolution after one year of suffering and pain seems optimistic to me.
So, did any of you have moderate to severe cognitive symptoms and recover completely? What are the chances of permanent deficits and damage in my case?



