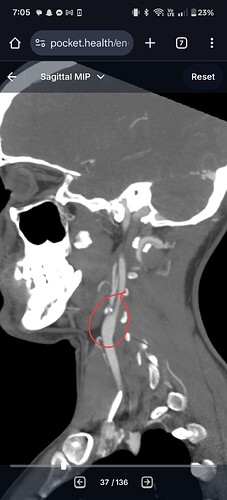
Hi everyone. So grateful to find this place and all of you. You have no idea how much you have helped me already. I had an elongated styloid process on the left side only (3.9cm), and I was diagnosed with ES and underwent the transcervical styloidectomy on 06/12/25, so I’m just about two months post surgery.
As far as the pain in the left side of my neck/throat, and like something sharp was stuck down in my throat, that is actually almost entirely gone- about 95%! I can say that I definitely still get a zing or two, and that I’m not 100% yet, but close as far as that symptom!
However, the glossopharyngeal nerve in the back of my throat is very angry. We double checked my imaging to make sure it wasn’t being compressed, and it isn’t. It’s just angry. One of my main symptoms all along was difficulty speaking because of the pain and tension in my throat, and this nerve is definitely still causing that for me, even though the additional pain in the left side of my neck is WAY better. Is this normal? Does the glossopharyngeal nerve just take a lot longer to heal or calm down? I know we probably upset it more with the surgery, so maybe it’s just still recovering and I need to be patient?
I speak and sing for a living, and ES essentially ruined all of this for me. I do the best I can in my job, but I’m still in a lot of pain from that nerve, and it causes tension that causes my voice to fatigue extremely easily. My doctor doesn’t want to put me on any medication yet, but recommended acupuncture and Chinese herbal medicine instead. I go in 08/12 to begin that course of treatment. He did say that if a whole year goes by and it’s still just as bad, then he would give me a neurology referral, but he didn’t think it would get to that. I also wouldn’t want to wait a whole year in pain and struggling just to have it be the same as it is now and have wasted time that I could have used helping it.
Does anyone have any experience with this glossopharyngeal nerve or what might help it heal or calm down? Of course, it is possible that I might just need to be patient too! ![]()





