Thank you Isaiah
and also True to what Jules wrote.
The other issue that comes up, is that you will probably be seen as a hypochondriac, or be referred to “pain management” or to do some psychological method like "Cognitive behavioral therapy " (CBT, about $100/hr) or sent to an audiologist to get hearing aids (about $5,000 in LA) that create white noise so as to heal your tinnitus and resolve hearing loss. The only thing these solutions have in common is that they lead you straight into mother poverty.
If you are able to communicate with your medical people, you send them this youtube link:
" Decompression of the Internal Jugular Vein for Eagle’s Syndrome" – https://www.youtube.com/watch?v=Yn5JK3iCq4s
In short, you must educate yourself and arm yourself with knowledge so that you can school the MDs and get a correct diagnosis. Below I’m providing an MRI script from one of the super expensive doctors I saw (I won’t name them). I recommend you copy/paste and provide to your Primary Care Physician so that they issue an MRI order.
And for God’s sake, DO NOT let some chiropractor “adjust” your neck! Massage yes, high speed “twist twist, crack crack” NO. Even if the chiropractor says “well I cannot bill your insurance if I don’t do this…” Just walk away, and pull a Nancy Regan and “just say no” hee hee hee 
STAY AWAY FROM HEAVY ALCOHOL. Why? Your styloids may be blocking your jugular veins and your brain isn’t detoxing. I realize this is hard when you find yourself alone, in pain, or not understood. To that I say, welcome to divine suffering, and their is a purpose for it. We all on here know about it and speaking from my own journey, I’ve offered my suffering up to Christ so that my own suffering is not in vain.
Lastly…PRAY especially for guidance and strength. The bottom line is that you’re suffering, you will continue to suffer, and you must stay focused on first documenting the problem, then reaching out to one of the surgeons, and praying you are accepted as a patient, and prepare. It’s a logistical challenge all the way around. This is why you’ve got to be organized…get your ducks in order. Whether you like it or not in my opinion, you and everyone else who gets this extremely RARE disease have a spiritual calling, and you’re called to grow, which is to struggle and fight. Fight for your life and your joy, and realize that you may well be given a grace along the way that is a divine gift.
One last piece of info per an analysis I did on that National Library of Medicine study, outlining key research points:
-
“Car accident[s] with whiplash” (i.e. neck injuries) are in fact a causal traumatic event for ES.
-
It’s a RARE disease. “An elongated process is present in approximately 4% of the population, and the vast majority of these are asymptomatic. Eagle estimated the prevalence of symptoms in patients with elongated styloid processes as 0.16%” A quick google search indicates the global human population at 8,019,876,189, of which 4% (or 320,795,047) have elongated process present. Of that, .16% with elongated slyloid process = 513,272.08.
2a. Mathematically, “assume 513,272.08 of the entire global population get a rare disease (like ES), what is the probability that I will get the rare disease (remember, global human population is about 8.1 billion)?” Answer: 0.0000649 or 0.00649%. For context, the statistical percent probability of being struck by lightning in a given year is approximately 0.000082%.
+++++
Diagnosis:
G52.2 Disorders of the vagus nerve
M85.88 Elongated styloid
TG93.2 Benign intracranial hypertension
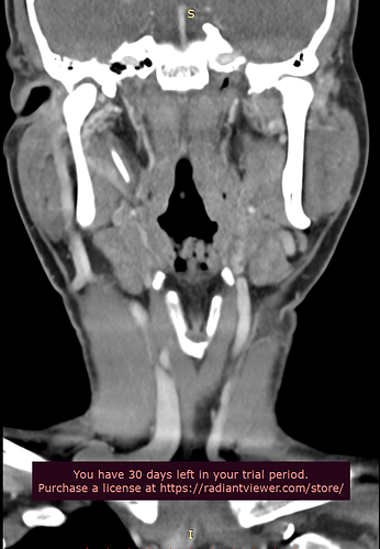
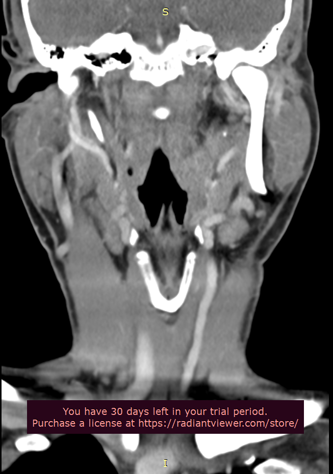
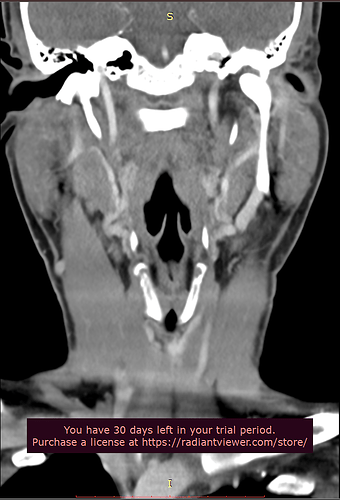
Please do a CT VENOGRAM of the brain and cervical spine with contrast. Please do a 3D reconstruction to show styloids. Please also measure the styloids.
CPT: 70460. 70491.
Patient with symptoms of intracranial hypertension (pseudotumor cerebri) compatible with compression of the internal jugular vein at the transverse process of atlas (C1) or styloid process. Please do the scan in neutral.
Please make sure the CT Scan is capture while the contrast is in the internal jugular vein. This patient is suspected of having significant compression of the internal jugular vein(s) between the styloid bone and/or atlas. This is not a CT angiogram order it is a venogram. Surgical decisions will be made based on this scan.