I had to give up strenuous exercise before I had my surgery, it’s a personal decision, but I felt so grim after cycling that it wasn’t worth it…
@madhavshrma I too get dizzier in the dark. For me, I think it’s vestibular, but that the vestibular problems are only there because of my IJV compression. I feel as though deoxygenated blood or increased pressure in the middle/inner ear areas due to IJV could definitely cause vestibular problems. I have the vertigo like you as well. I think it may have been @Isaiah_40_31 that mentioned on a form a while back that their surgeon said that meniere’s diseases is a symptom of a condition and not a condition itself (i.e., something is causing the fluid imbalance and it may be IJV compression). I look at it this way - you and I both have dizziness which seems to get worse in the dark (may actually be due to it be dark mostly when laying down) and we both have elongated styloids. I don’t think that’s a coincidence, and I don’t think it’s strictly vestibular problems (i.e., our ears/eyes/suboccipitals) at the core.
Do you happen to have your original CT scans? If you go into the axial view and screen shot this area (see my attached imaging) of C1, I can see if your IJVs are being compressed!
Also @madhavshrma if you post this axial view of your hyoid bone greater horns I can see if they are digging into any arteries/veins! You might be able to see more of the hyoid in one slice than me, as mine is pretty angled. The greater horn tips are the important pieces to get in the image.
You have good recall regarding Meniere’s potentially being a symptom of a condition & not a condition itself. It was Dr. Hepworth who told me he believes that, & I agree wholeheartedly!
Now i feel occasional pain on my right side of neck just below the ear around 7cm below my right ear i…i feel some sharp object is pinching my skin from inside…on right my styloid is biggest 42mm.So is this pain caused by styloid process or anything else…i feel pain like 5-6 times in a day not whole day.No constant pain.
It’s had to say; if the styloid is catching a nerve it can be referred pain through the nerve, for example my Trigeminal nerve was being irritated & I had the pain in my jaw and molars…It could be the hyoid you’re feeling otherwise?
I got my scan through email…being from non medical field…how to see greter horn compressing carotid artery bulb or biefurcation…how can i send that email to u i tried to attach but unable to share size is 350 mb…can anyone share email so that u guys look into my scan i share you…i tried little bit in radiant viewer and got these images
@madhavshrma it doesn’t seem to me from these pictures that the greater horns are digging into the carotid bulb. On both sides it looks as though your carotids glide along the outside of greater horns. That’s not to say that your symptoms aren’t coming from there, I just don’t see any direct bone on carotid contact that I think would be significant in this specific position, unless the left greater horn is rubbing against say the carotid sinus nerve or carotid body, but I’m not sure at this angle. Your left greater horn does seem position lower than your left, which brings it closer to your carotid sinus.
Found this study that goes into the different variations of hyoid-carotid relationships. https://www.mdpi.com/1648-9144/59/8/1494. I’ve attached a photo of their diagram and circled what I think looks like your variation.
Can you upload a couple more axial images of your C1? I can see you added a couple, but I need a couple more at different depths so I can make things out better.
It seems like your left IJV loses contrast as it travels down your neck. Not sure if it’s because it’s being compressed somewhere or whether contrast just wasn’t circulating in it during the image or what. I highly suggest watching my axial CT tutorial I posted yesterday to find the IJVs in the area of C1 then follow it down the length of the neck to see if narrows significantly anywhere!
Your right greater horn looks like type VIII as I circled in the image. Your left looks closer to type X I’d say, where the ICA and ECA are closer to form the carotid sinus.
But definitely i feel dizzy and clicking pooping crunching sound from my hyoid bone during swallowing @Jules @Isaiah_40_31 @TML @churchyardyew Guys pls see my scans.
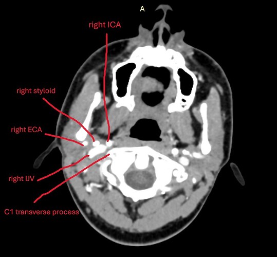
I think I found what’s causing your symptoms. Your right styloid is elongated. I’m getting around 3.3 cm. Your right styloid is quite thick but is shorter and doesn’t seem to be interfering with anything.
Your right IJV is getting compressed between your right styloid and C1. This is important not only because of reduced blood flow out of the brain, but also because the vagus nerve runs between the IJV and C1, so if the IJV is compressed than the vagus is compressed and can cause heart rate and blood pressure changes which can cause dizziness. The reduced flow from IJV compression can also cause dizziness and headaches, brainfog things like that.
Your right styloid tip is in contact with your right ECA, which is the artery that supplies your ear with blood, so any pressure changes from your styloid hitting that artery or compressing it, would likely cause pressure changes to your ear which can cause a bunch of ear symptoms (fullness, ringing/tinnitus) and possibly dizziness since the ears are important in the vestibular system.
Not seeing anything at the hyoid. That’s not to say nothing is going on there. I really think your right styloid is the big player here, and it’s possibly effecting your right IJV, right ECA, and right vagus nerve.
what you and I have in common is the ECA involvement from our styloids. Since we both are dizzy and it gets worse in the dark, I really now think that ECA compression is the culprit for that specific symptom. It’s the only thing besides the IJV that you and I have in common in our scans. Here’s my styloids hitting my ECAs. Any head movements theoretically would change the pressure gradients in our ECAs due to our styloids moving with our heads.
Also note that I deleted all your personal files after I annotated your imaging. Just be mindful about sending identifiable information like that but at this point I get that you are looking for answers, I’ve been there so I can’t judge. Just be careful!
Then what clicking,pooping,cracking sound of hyoid causing?Do i need only right side styloidectomy to treat my brain fog?
@madhavshrma I’m not a medical professional so I can’t really for sure tell you what the path is. And I’m not a radiologist so all my help with your scans are just what I think is going on, and I am no way in any form trained to read and interpret CT imaging.
In my opinion a right styloidectomy could be good, maybe a C1 shave in combination.
Hyoid bone can often become a problem in eagle syndrome because the styloid has direct connections to the hyoid bone. So all the crunching and whatnot is there, I just can’t see it on the imaging.
Radiologist told me your right side styloid length is 42mm from base and 30 mm on left side
My measurement is quite off then! I must have not measured far enough up to your skull base when measuring the styloid. Glad to know you got them measured by a radiologist.
C1 Shaving is very risky…it increases cervical instability and no dr in my country India perform.
I would probably delete your google drive post now. Just so someone you don’t want gets a hold of your personal information! @madhavshrma





























