Hi everyone, I’m hoping someone here can help me, this site was a great and comforting resource for me when I was diagnosed. I was dx with Eagles in 2023 after many years of pain and had a successful styloidectomy in July of last year. I was doing very well with my Eagles symptoms and thought I was getting my life back. Unfortunately I sustained an injury to my surgical incision/hyoid bone area in Feb of this year (my big cat jumping on my neck while I was sleeping). I’ve been in pain ever since in the area of my hyoid and throat. It clicks painfully when I swallow and feels like it’s “rubbing” on something in my throat structure and I can feel it hitting something in my neck when I turn my head. I just had another CT and my surgeon can’t find any visible reason for the continuing pain. Has anyone had anything like this happen? I can upload pics of my CT but I couldn’t find the right setting in radiant to get super clear pictures, I have no idea what I’m doing so I’m sorry for the quality. Does anyone have any idea what this could be? Thanks in advance and I hope everyone is having a good day!
@leo sorry to hear you were making progress and then this happens. Sounds frustrating to say the least.
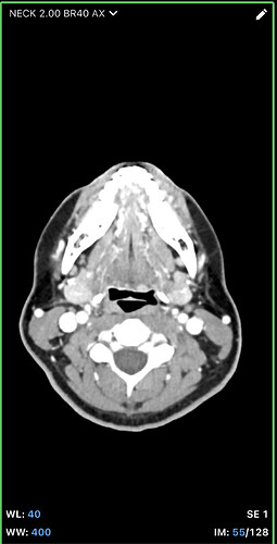
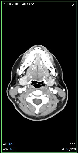
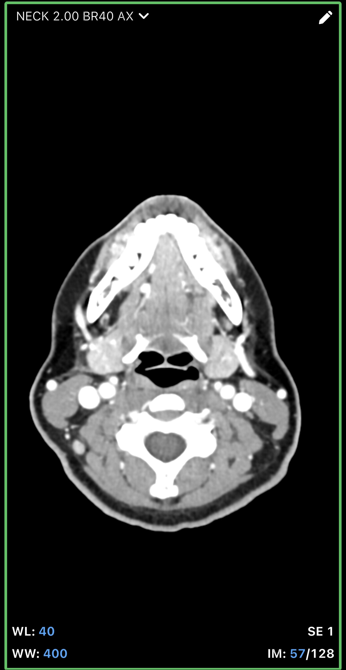
I think the best CT imaging view to look at whether your hyoid is digging into anything is by going into the axial view of your imaging. In the axial view look for the horseshoe shaped hyoid bone. I’ve attached what to look for. Take a couple screen shots and upload them and I can help interpret the imaging.
@leo,
In your first & last pictures, you can see how close to your spine the greater horns of your hyoid are. Your whole hyoid looks like it’s been pushed back further in your neck than it should be possibly producing Hyoid Bone Syndrome (HBS).
You must have a mighty large cat for it to have done that to you! I’m sorry that happened.
I recommend you contact either Dr. Chhetri or Dr. Karuna Dewan who specialize in HBS. It might be worthwhile getting 2 opinions.
•Dr Dinesh Chhetri, UCLA, Los Angeles (ENT/ Otolaryngologist, Head and Neck Surgeon) Dinesh K. Chhetri, MD - Otolaryngology - Head & Neck Surgery | UCLA Health (Po
•Dr. Karuna Dewan, Ochsner LSU Health Shreveport - Academic Medical Center - Specializes in Hyoid Bone Syndrome surgeries
1541 Kings Hwy, Shreveport, Louisiana, 1-318-626-0050
Karuna Dewan, MD | Ochsner LSU Health
Hi, thank you so much for your help! I hope I got the right pictures for you. I had to do a bit of searching, but I believe these are the correct ones. If not, please let me know and I can keep trying. I very much appreciate you taking a look!
Hi, thank you for replying! I was hoping to get your input, I remember you being so kind to me when I was first diagnosed with Eagles, I hope you’re doing well! Honestly, that’s EXACTLY what it feels like and what I described to my surgeon…like my hyoid is up too high/far in my throat. When I turn my head or move my hyoid bone, I can feel it like “scrape” my spine (or what feels like my spine) and it doesn’t feel good at all. I also have been having terrible muscle cramps all around the bone itself and into my collarbone/shoulders etc. Really too many symptoms to list, but all referring from that area it feels like. Thank you for the doctor recommendations, do you know if they do virtual visits? I’m unfortunately not nearby either one.
And yes she’s on the larger end, about 16lbs. The vet says she should be around 10lbs. She still refuses to take responsibility lol. She’s lucky she’s adorable and I love her so much, or she would need to get a job to pay for my pricey ct scan lol.
@leo - Unfortunately, I don’t think either doctor does telehealth consults. Dr. Cognetti in Philadelphia does but he’s booking initial consults in Jan or Feb '26 at this point. He also does hyoid bone surgeries.
Your cat sounds amazing! I’m a cat lover but married a guy who’s terribly allergic to them so we had dogs instead. They were great, too, I must admit.
Thank you for the nice compliment. I’m glad I was helpful for you when you first joined the forum & am so sorry you had to come back after finally feeling well. There may be someone in your state who works with hyoid bone problems. I’m wondering if you found a good myofascial release therapist if you could get help without needing another surgery.
Might want to check out left styloid process and ligament also. Can see it on the 3D but not all of it due to blood vessels. Might be contributing to the hyoid injury/problem if ligament is calcified.
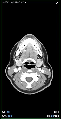
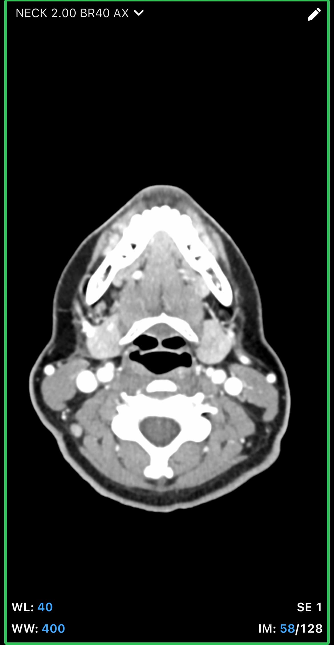
@leo this is the closest one. Can you go back to your axial view and go to the very last slice that you can see the tips? I think you might be one or two frames off. I attached my imaging to help. Our hyoids might be at slightly different angles so it might not be a perfect comparison, but I think you can go up a slice or two to see the tips better. Basically follow the bone until it disappears then go back one frame to capture it.
Good observation, @Rex!
So frustrating that you were doing well! The hyoid bone processes do look quite long & very close to your vertebrae, as the others have said, so worth looking in to if you can…
Hi, I’m so sorry for the delay in replying to you, we had some family stuff come up and this got pushed to the back burner for awhile. I’ve gone back a few frames, am I getting closer? I can also send you the whole CT if that would make things easier. I’m sorry, I’m not good with technology. I appreciate you taking the time to respond! Since we last spoke, I’ve developed a lot of neurological symptoms and weird physical ones like dizziness, headaches, brain fog, weird throbbing in my neck and head, can this all be tied in with hyoid bone problems? Thank you so much for your time!
@leo - The new symptoms you’ve just mentioned i.e. dizziness, headaches, brain fog, weird throbbing in my neck and head are all those we see associated with internal jugular vein compression. From what I can see in the images you posted, it looks like you may have that going on, but I’ll let @TML give you more information.
He has suggested to others that putting the CT scan into a Google Drive folder & sending the full CT to him is most helpful. He is careful not disclose any of your personal information on the forum even if he posts some of the images he annotates here.
To send him a PM click on his screen name or avatar as they appear above one of his posts.
Yes, she’s awesome! My husband found her under a bunch of pallets at his work a few years ago as a tiny kitten that could fit in one hand (can’t do that now lol), and she’s brought so much joy into our lives. I love dogs too! We have two dogs, and they’re my babies. I embarrass my daughter all the time in public because if I see a dog, I will ask to pet the dog lol.
Darn, I was hoping that I might be able to do telehealth, I’m financially strapped from years of trying to figure out what was going on with me (in addition to terrible insurance) so to set up an out-of-state trip will mean some serious grinding. I’ll make some calls and see what I can make happen, bc I can’t live like I am now.
I like your idea about a myofascial therapist. I looked for one a few years ago when I was dealing with slipping rib syndrome and they were surprisingly hard to find, despite living near a big city. But I’ll look again and see if anyone new has moved to the area. Everything in my head/neck is extremely tight from my body holding itself together.
Hi, good catch! I do have an elongated styloid on the left side too. And calcification on my ligaments as well, per my ct report. I’ve been wondering how much that plays into what’s going on now. I felt a lot of relief from the poking after my first styloidectomy, so I had decided to wait on my second one for awhile, then this injury happened.
@leo - I just reviewed part of this discussion & wanted to update you that I think Dr. Chhetri will do a virtual consult. It would be worth contacting his office to ask.
Yes, it’s been a bit of a setback for sure. I was feeling so much hope that things were getting better and then this happens ![]()
@leo I can’t quite make things out without being able to follow structures from the skull base. As @Isaiah_40_31 mentioned, what you can do is put your CT files into a google drive folder and private message me a link to the folder and I can go through your imaging and annotate things? You would no longer be anonymous to me but I wouldn’t be sharing any of your personal information.
Oh gosh, I’m hoping that’s not the case, but I could see it since I’ve felt awful the last two months. I’ve been trying to ignore it since we’ve had a lot going on life-wise but I’ve been getting steadily worse with strange symptoms. My neck/head feels like one big heartbeat pretty much all the time. May I ask, do you know of anybody with this symptom? …my right ear feels “wet” but when I use a qtip or something nothing comes out. It drives me insane, like the feeling you get when you’ve been in a pool and have water in your ears. I can’t find anyone else with the weird ear feeling but I figured I’d ask you because if anyone has heard of someone with it, it’s you ![]()
We have had members mention having the sensation of water in their ear(s) but nothing was there. In those cases we suspect its nerve related. In cases where there is fluid, it can be due to a CSF leak which can be a repercussion of IJV compression causing high pressure in the skull. A CSF leak is the body’s way of reducing that pressure temporarily. The water in your ear sensation can also come from inner ear pressure changes being caused by blood flow issues.
This can be a symptom of jugular compression which would also justify my suggestion that you may have IJV compression. The pulsing in your head could be from the intracranial hypertension caused by the compression.
Ok, I *think* I figured out how to send you my CT….again, I’m terrible with technology so I apologize in advance if it’s not correct. I’ll pm you!

















