Hi there. Thanks for all the good information on this forum – I have been lurking for quite a while. I am a 52 year old male living in eastern Canada who, in late 2015/early 2016 became ‘ill’ with a full suite of very different symptoms and have only recently been tuned in to the possibility that my neck may be the cause. Prior to this, never had any health issues other than the odd sport injury and always led a very active lifestyle (hiking, skiing, hockey, surfing, mountain-biking, etc.). I have had a very significant work-up over the past 9 years in the areas of ENT, infectious disease, autoimmune disease, thyroid disease, liver/kidney/heart work-ups, CT scans (mouth/head/neck), MRI (brain/neck/spine) with zero findings that would lead to a diagnosis. Just prior to the onset of my symptoms in 2015/2016, I was receiving treatment for a rotator cuff injury (right shoulder) in the form of chiropractic care (neck manipulations) and physiotherapy that was resulting in more neck/shoulder pain. Overall, my neck is in constant discomfort with a lot of nerve sensations but unable to determine what provokes it or why it causes so much grief in feeling ill with a host of other symptoms. It seems silly to say this but I have always thought that my neck discomfort and the nerve sensations in that area were just leftovers from the shoulder injury but now I am beginning to wonder if they are actually the cause of this ‘condition’ I am in. This is my attempt at summarizing my symptoms:
• malaise - strong wooziness/lightheaded/dizziness usually combined with nausea. Feel so ill that it is hard to put it into words. Mornings are the worse but see slight improvement throughout the day.
• Episodes of very light-headed/dizzy and about to faint. eg. exercising, going for walk. Also have those dizzy sensations like being in an elevator and it starts moving. Sometimes a longer walk causes eye twitches (mainly right eye) or weird things to happen to my eyes.
• various mouth and tongue pain/sensations/dry mouth, choking on saliva sensations (burning mouth syndrome?). I still remember quite vividly, my tongue starting to feel different, like a nervy tickle near the back on the right side and then developed into this ‘burning mouth’ condition.
• head/face/sinus pressure (with phlegm and runny nose). Head pressure has been pretty bothersome lately.
• nerve sensations (uncomfortable tingling) in neck and upper trapezius, sensations down right arm but sometimes left arm too.
• neck pain/soreness, particularly laying down with back of head against pillow. Majority coming from base of skull. I lay my head down (pressure from pillow?) and nerve pain/sensations begin. In the beginning, found it difficult to sleep because of the crushing pain at the front of the throat but it was only at night (laying down).
• headaches were extreme and now are generally low grade (back of skull) in the morning
• neck spasms/twitches and experience episodes of muscle and/or nerve inflammation through back of neck and sometime down spine.
• Instances where neck ‘locks up’ or feels like it is jammed
• Always had a sense (before discovering that it is possible) that circulation in my neck is hindered all night – wake up feeling worse.
• Right side SCM muscle bulges when swallowing (Omohyoid muscle syndrome? Scar tissue?).
• tingling, crawling sensation through scalp
• abnormal, diffuse nerve sensations in face, pressure in face/sinus area.
• eyes feel inflamed (teary or sting at their worst) and visual disturbances that are difficult to explain (floaters, blurriness, eyes feel drowsy or maybe sensitive to light?).
• trapezius/shoulder/pec/arm pain at times.
• Had a lot of jaw pain in the beginning (left side) but now it’s only very occasional. I once went to ER for the jaw pain and was prescribed antibiotics which of course didn’t resolve anything.
• hoarseness or difficulty projecting voice at times. I had a very strong globus sensation at the beginning and now it is more of a vague sensation of lump in throat every once in a while.
I was getting a tiny bit better 2020-2023 (just enough to live with it) but in January 2024 I pulled my snow-blower out of my basement and acutely became ‘ill’ – almost flu-ish, dizzy, sweating, neck pain, headache etc., which led me to google searching again and I came across conditions like craniocervical instability, eagle syndrome etc.
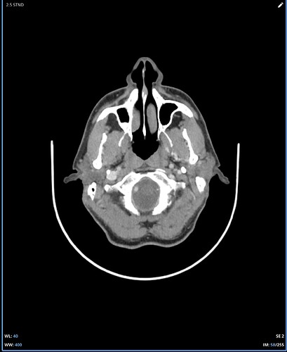
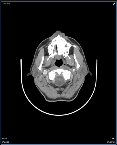
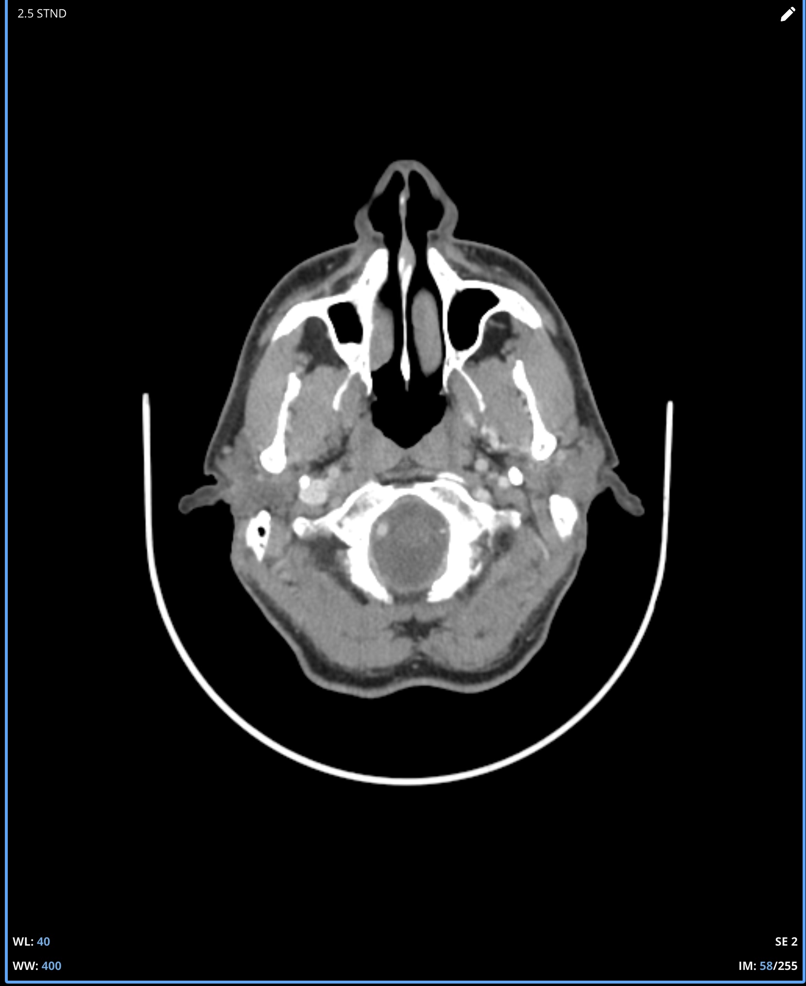
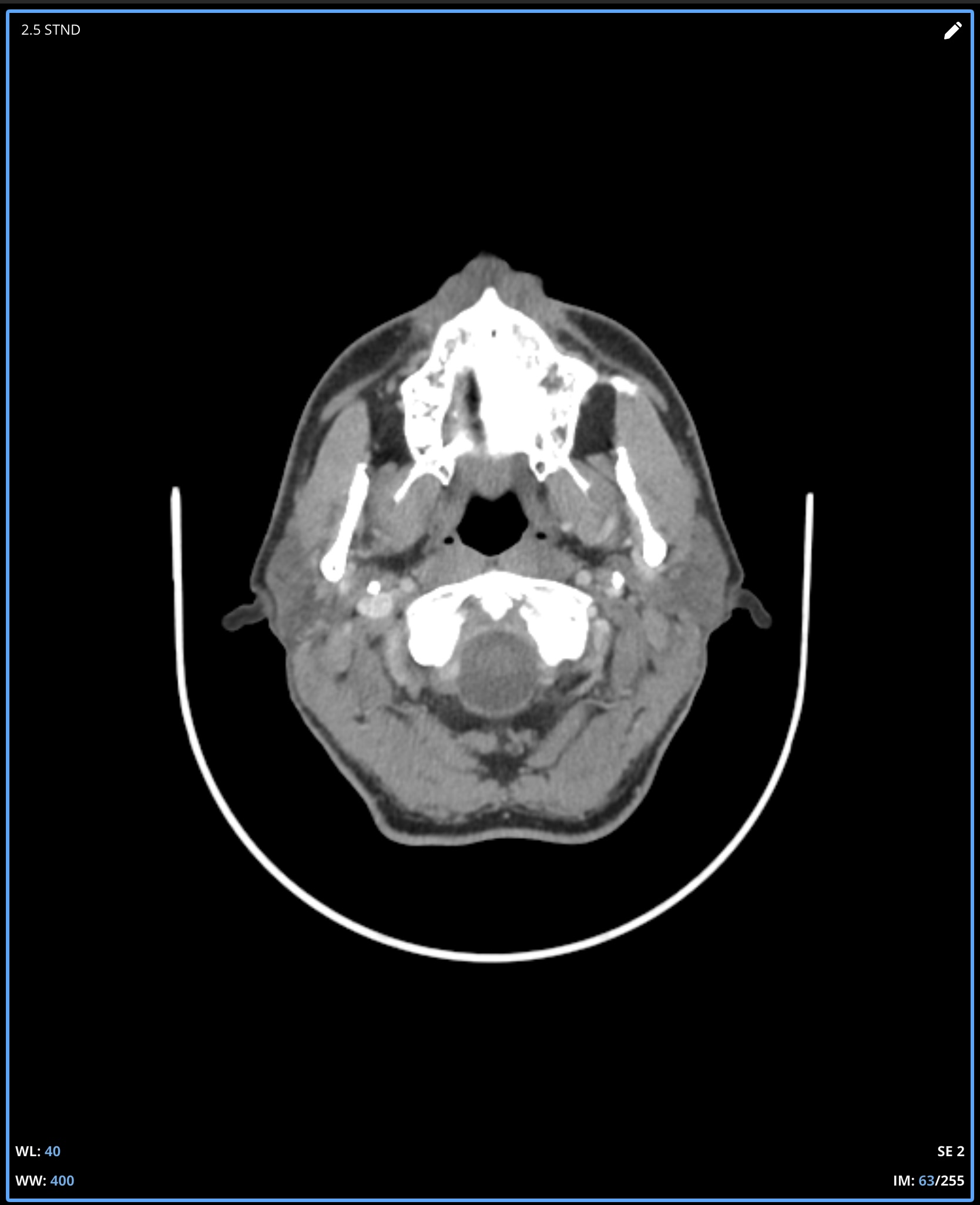
I have more stuff going on too (nerve sensations in legs and tailbone/lumbar area) and so many more observations/nuances to the way it impacts me. Some days I feel really ill and to me it feels like some sort of autoimmune condition or illness and other days it feels all musculoskeletal in my head/neck/throat. I also wonder if thoracic outlet syndrome and/or occipital neuralgia is playing a role. I thought it was worth a shot to at least make a post as I have been reading a lot on the forum. I have a CT image from 2016 that looks like vascular compression like imaging I see on this forum which is the first time I feel like I have some objective evidence but I’m not smart enough to figure this out! It doesn’t seem to have the best detail as other CT images I see on here. I also requested my dentist to do a panoramic x-ray recently. I uploaded the CT image into RadiAnt Imager viewer to see my styloids but it doesn’t show much detail with respect to the jugular and vascular structure. I will see if I can post some images.
Sorry for such a long post and thank you for reading!
RB
Hi & welcome!
I just despair when we hear stories on here of members like you suffering for years with neck pain etc & then we look at your CT & see glaringly obvious styloids & IJV compression
I’m not saying that ES is definitely causing all your issues, but could well be responsible for some of them , & given your images…
I’m not good at tech so can’t do labels or arrows for your imaging, but on the first two images, there’s clear compression of the IJV between the styloid process & the C1 process. In the first one, it’s not clear whether it’s just the imaging or whether there’s also narrowing of the IJV further down- it disappears so that could be compression but can’t see clearly, if it was compressed there it would indicate TOS which might explain some of your arm symptoms…
The third image doesn’t show the styloids, but on the panoramic ox-ray you can see the two spikes either side of your jaw bone, which are elongated styloids.
In the other two CT images, you can see the styloids really clearly- they’re quite elongated, pretty thick right at the top, and both sides look close to the C1 processes, which is a common place for the IJVs to get compressed.
It doesn’t look like there’s any calcified sections of stylo-hyoid ligaments, the hyoid processes look a little long…
I had bilateral IJV compression too- because the blood can get into the brain okay through the arteries, but doesn’t drain well, the pressure can build inside the head, Intracranial Hypertension. That can cause symptoms like off-balance/ drunk feeling, blocked ears, head & ear pressure, dizziness, brain fog, fatigue, & some weird sensations like falling when you’re not (I used to get an awful feeling like being in a lift when it drops down, not sure if that’s what you’re getting?), sucking sensations in your head, rolling, wearing a hat & feeling closer to the ground/ shorter than you are. Sleeping with your head elevated can help… If there is raised IH, sometimes that can cause visual disturbances as the pressure can compress the optic nerve, so if you’ve not already had that checked it would be a good idea to see an ophthalmologist too.
SCM tightness or becoming enlarged has been experienced by quite a few members too…
The globus sensation is one of the more common symptoms & best known.
Hoarseness isn’t as common but we’ve had a few members with that, including some professional singers who had to give up singing!
Burning mouth is quite common- we’ve had some discussions about that, rinsing with a bicarbonate of soda solution, nerve pain medications, & Low dose naltrexone can help.
The Trigeminal nerve and facial nerves are often irritated so that can cause dry mouth & eyes, pain in face, jaw, teeth, scalp, facial weakness/ paralysis, numbness, tingling, crawling, itching…
Lots of members have had sinus issues, & some hypersalivation or lots of phlegm.
Headaches are common, pain in the back of your skull when laying down could possibly be from pressure on collateral veins; when the IJVs are blocked, often smaller veins try to take some of the blood, so can swell & become painful. It could otherwise be from the occipital nerve.
It might be worth asking to try some nerve pain medications if you’ve not already- like Amitriptyline, Gabapentin, Carbamazepine- they take a while to build up in your system but might be helpful. Muscle relaxants can also help with tightness in the neck or SCM muscle. Heat or ice are often helpful, and topical lidocaine if you can get that, or patches. Some members have been prescribed blood thinner to help with the IH symptoms.
I certainly think it’s worth pursuing ES as a diagnosis , and trying to see a doctor with experience. There are a few doctors on our list…In Canada it’s really difficult to get any treatment though, so I don’t know if you have the funds to be able to travel to the US?
Hi @RB709 - Welcome! I second what @Jules said. “I just despair when we hear stories on here of members like you suffering for years with neck pain etc & then we look at your CT & see glaringly obvious styloids & IJV compression.”
Like many of our members, you’ve lost the lordotic curve in your cervical spine. This changes the position of the styloids in your neck bringing them closer to nerves, vascular tissues & the C1 vertebra which in turn can increase any symptoms they are causing. The curve can be restored w/ PT &/or some gentle neck exercises. There’s even a neck orthotic which can be purchased online to help restore the neck curve - https://www.denneroll.com/cervical-combination-order. You can learn more about your neck here: List of my favourite resources on YouTube to learn anatomy
Restoring the curve won’t necessarily put all your symptoms into remission, but it can help reduce them, however, w/ the length of your styloid & their proximity to C1, I suspect you’ll need surgery both to shorten the styloids & decompress your internal jugular veins for the best overall results w/ your ES symptoms.
I’ve annotated a few of your images to help you see what we see:
Thank you very much @Jules and @Isaiah_40_31 , I really appreciate both of your responses as I continue to learn. I have a couple questions for my own understanding. Regarding the pano X-ray, do you know what I have circled in blue? I originally though those were my styloid processes:
And I have attempted to measure them in RadiAnt and they don’t seem abnormal in length?
I do have a family doctor appt scheduled for July 10th which will be the first time discussing Eagle syndrome. Are there any recommendations for another type of image or at least an updated image? The CT I have posted is from 2016. Also, is it best to request referral to ENT at this point (even though I saw ENT several times in the beginning but of course at that time I didn’t have any inkling as to what realm my condition was even in).
I am at a stage where I have to do something because the ‘condition’ I am in is certainly quite debilitating. Thanks very much again!
Hi @RB709 - I am very embarrassed to say I circled the wrong thing in your image. The red circles are not around your styloids. What you circled w/ the blue circles are your styloids. I’ve been burning the candle at both ends for several days & was tired the night I annotated your pano. I’m very sorry for the mistake & thank you for your correction. I deleted my original annotated image so it wouldn’t be confusing to someone else.
Yes, you’re right with the blue circles…
Re measuring your styloids, firstly measuring is never that accurate as CTs are done in slices so the styloids could be longer than you measured, members often find this after surgery that more is removed than expected! Also even if the measurement is accurate, ‘average’ length styloids are about 2.5cms, although doctors have some funny ideas about what can be normal, we’ve heard of some doctors who think 4cms is! Generally they shouldn’t reach down as far as the C1 process, which yours do…
If you’re going to get an updated CT, that might not be a bad idea if your last one was 2016, and if it’s possible to get one with contrast, then it would be helpful, as your styloids look like they are quite close to the C1 process, so the IJVs can get compressed…
Hi again. Sorry I haven’t posted in a while. I have discovered since posting that perhaps I have POTS which confuses things for me even more. I have a lot of POTS symptoms and my heartbeat increases 30-40-50BPM between laying down and standing. I cannot distinguish what is POTs and what might be jugular compression (among a very very long list of symptoms. It is also very confusing because it seems everything is a comorbidity of POTS. My symptoms could look like cervical instability, TOS, CSF leak etc depending on the day of the week. My most debilitating symptom now is the head/brain/ sinus pressure.
Where I am in Canada and the healthcare system is slow, I travelled to a different province in November for an updated CT. The report did note a pretty severely squished left jugular between C1 and the styloid and some compression on the right side as well so at least it is acknowledged on a report now. It sure looks like C1 is causing a problem even moreso than the styloid but I am not in a position to figure this out. I can’t help but wonder if I was born this way and it’s actually not the problem at all. Anyway, I would appreciate any feedback whatsoever on these new images….is a C1 shave a must do? I hope this isn’t too many images to post, I was trying to show the full picture of how the compression looks. It is very difficult to pick out the left jugular because it becomes so small:
Oops I just posted some repetitive images
@RB709 -
POTS is very common w/ IJV compression & is likely a result of the intracranial hypertension caused by the blood flow out of the brain being impeded by IJVs that are “crimped” by bony &/or soft tissues. The blood flow into the brain via the ICAs continues at the normal rate so there is a blood back up in the brain. The extra pressure (IH) in turn causes symptoms like POTS, brain fog, visual distortion/changes, migraines, tinnitus/pulsatile tinnitus, derealization, CSF leaks & other problems. Having the IJVs decompressed allows normal blood flow through the brain to be restored & in most cases, the awful symptoms subside over a period of months.
It’s clear that your right IJV is dominant based on its size vs the left one. I’ve annotated a couple of your 3D images to show what I see & will comment below them. Scrolling through your axial images, it’s obvious you have significant bilateral IJV compression.
Your left IJV appears to be predominantly compressed by C1 as you suggested, however, there is secondary compression lower down which appears to be caused by your ICA, however, it could be coming from your SCM which could be impacting both the left IJV & ICA.
Your right IJV appears to have a small clot at the level of the C1 compression, although this could simply be C1 pressing from the back side. I’d sure talk to a doctor about the way that looks though.
Additionally, it looks like your right IJV is twisted part way down which may be causing some compression at that level. I haven’t seen this before. It may just be an illusion in the imaging & not an actual twist.
There was an interesting article posted about POTS by @Veroguilnec today. Here’s the link to it:
@Isaiah_40_31 Thanks thanks so much!
Today was again a very hard day. I had an appointement with my generalist doctor who doesn’t know Eagle syndrom.The ENT Orl made a report to the generalist who said I make nomadism and it is not Eagle ! So my generalist doesn’t want to phone the radiologist to complete the angioscanner des TSA…She read dr Kamram Aghayed’s report and I showed her your pictures(she was surprised with the 3D images…and told me it I made too much research) was but as she knows nothing she doesn’t want to prescribe angioscanner phlebography.She said that the ENT must prescribe the phlebography scanner but the ENT wants the generalist does it! I’m doing the ping pong ball and I am in the report a label of a troublemaker !!!
About my vision the ORL said in the last report I speak about vision and that I have never done it before.It’s false because I repeat it each time !! In the report the ORL said my clinic exam was ok. He hasn’t examined my throat, he dosn’t touch me!
I am so so discouraged . Tomorrow I succeeded minimally to obtain a doppler and monday I’ll see Dr Cartier in Montpellier (1100km only to go ,and 1100 to return)
After my doppler tomorrow I’ll try to join Dr Axon or Kjetil Larsen….
@RB709 , I agree with @Isaiah_40_31 's comments about your scans, so can’t add anything to it other than to say the vagus nerve is located in the carotid sheath along with the carotid artery & IJV, so as your IJV is very compressed, it could well be that your vagus nerve is also. This can cause BP spikes, or drops I would imagine, as well as heart arrythmias, so it could be that some of your POTS symptoms are being caused by the vagus nerve, just to complicate things!
It’s not right, but our Canadian members who’ve needed C1 shaves have travelled to the US (or Turkey) for surgery. Might that be possible for you?
So frustrating for you @Veroguilnec - that a doctor will tell you you’ve done too much research, that they know nothing about ES but then decide you don’t have it?!
![]()
My ORL ENT (the one who yells at me every time) who is the only one who watched my scanner images told me “return To “Mme G” ENT but she dosn’t know nothing abour Eagle”!
About jugular compression he said me you need an angioscanner venous time to be sure at 100% but he didn’t want to prescribe it! And today the generalist doctor doesn’t want to prescribe too! “Ping pong ping pong” I am like a ball
Thank you kindly for responding again @Isaiah_40_31 and @Jules (and no problem for responding too @Veroguilnec).
My main issue now is not finding any relief from my head/neck symptoms in any position, during the day or night and as I mentioned above, the sinus/head/eye pressure is relentless. I am assuming it is because of the paradox between IJV compression that Kjetiel speaks of in his article. I have had several consults with Kjetiel and have been doing his TOS protocol for a year with no progress. I think he is very intelligent but find it hard to accept a virtual diagnosis when someone can’t physically examine or test you.
I would go anywhere at this point but it seems that wait times to even consult are too long. Dr. Osbourne is an option but I am concerned that where the IJV’s are so tight against C1 that his surgery might not fix me (but I’m just guessing). Turkey is definitely an option too but I am having hard time coming to grips that I would have to do such a drastic measure without any certainty that it will fix me. I guess all of this is the position that most people here find themselves in. I have followed the Canadian discussion thread and could try for a consult with Dr. Pereira but not sure if that would help or confuse the matter. I am kind of on my own now because my family doctor can’t really do anything and any referrals I do receive are 6 months to a year away.
The POTs thing is really confusing because in hindsight I must have had it for a long time and not realized it because of overlapping symptoms. I ordered a pulse oximeter to check my O2 levels at night because of all the dizziness, pressure and weird things happening with my head and as it turns out my O2 is fine at night but I noticed just by fluke that when I stand up, my heartbeat jumps really high and doesn’t come down. I also noticed that I do have O2 drops with exertion and don’t know why that happens. Anyway, all very confusing. Thank you again for responding.
@RB709 -
Based on what I see in your images, I think surgery to decompress your IJVs would go far toward reducing or eliminating your POTS symptoms along with the other miserable symptoms you have especially in your head. It can take some months after surgery for your brain to get used to a new level of blood flow so surgery isn’t an immediate cure, but it’s a key place to start.
Dr. Pereira will place a stent in an occluded vein, but if the cause of the occlusion/compression isn’t removed first, the stent will eventually also be crushed closed & cause even worse problems.
@RB709 I am in the same question as you….I am so alone to be sure it is the good diagnostic (I have only Dr Aghayed opinion…I would like another one and I am so stressed with that big surgery especially in a foreign country

























