Hello! I have been browsing this forum and got a ton of useful information. And it’s time I share my story as I go in my own journey.
Story
About 10 years ago when I was 24, I started to feel something behind both my eye balls. Initially I thought it’s from long screen time because I was a tech worker and played FPS video games all night, and it did disappear from time to time and came back. But eventually the sensation of foreign object stuck with me. And it went from affecting both eyes to only my right eye.
For almost 5 years, I thought it’s an eye problem, and used eye drops to try to relieve. I even went to an eye doctor who prescribed me some allergy eye drops, which obviously didn’t help.
But in the recent 5 years, the location of the sensation migrated from the back of my eyes, to the back of my nose, and eventually to my throat on the right side. In the recent 2 years, it progressed much faster, to the point that every few months it became more noticeable and more annoying.
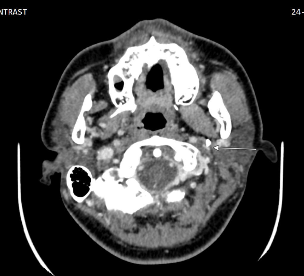
So in 2023 I went to Bellevue ENT, did a CT scan and got a diagnosis of possible Eagle Syndrome, because my styloid process is mildly elongated. But I hesitated to consider surgery because the symptom is not that bad. But in 2025 I finally decided to go to UW medical center and I am currently with Dr. Merati.
Symptom
Globus sensation in throat on the right side
- No pain most of the time, just annoying. I could forget that exist it if I am distracted
- Gets better after I eat, but only temporarily for ~1 hour
- Gets worse and painful when I get a gold, or when I am really tired at night
- Mentally -
- The sensation is distracting and makes me hard to focus and more easily irritated, and hard to relax so I am more exhausted
- I often find myself hold my breath unconsciously, to attempt to get rid of the sensation
Visits
After the first visit, I tried speech therapy, which didn’t help at all. I just had my 2nd visit, and the doctor said there were 3 causes he knew of: 1) reflux from stomach (which I do have) 2) nerve damage 3) Eagle syndrome. He is not convinced it’s Eagle syndrome yet, because my left side is longer yet my problem is on the right side.
So I will try acid reducer to reduce reflux first, and then do a nerve block to reduce inflammation and see how much that helps, and move on to surgery if neither helps.
Advice needed
- Is there anything else I can do to determine whether the problem comes from the styloid process? I did talk to my doctor and asked for another CT scan, and still waiting to do that
- Is it worth doing the nerve block and other explorations, or should I just push for a surgery sooner?
- I also read good things about Dr. Samji in the forum. Any reasons and advantages to consider Dr. Samji instead? I guess maybe he did more surgeries and had more experience, but my doctor said it’s not a complex procedure










