Reading CT with constrast for vascular involvement

Hey all! I have been working with Dr Nakaji recently. He’s requesting I get a Venogram before consulting and then doing surgery, so I’m flying quite a distance to get it and then hopefully get the styloids out.

I have quite a bit of both traditional eagle and vascular eagle symptoms - both forms of tinnitus, headaches, ear pain, head pressure, heart racing, etc.

I had a CT with contrast done, and while I’m pretty sure I have vascular involvement, I’d like to review a bit and be somewhat sure before flying across the country. Anyone have tips for finding the jugular/carotid in tools like radiant viewer etc?

Edit: after playing with it, I’m not seeing any veins and arteries - although I was ordered a CT with contrast and was receiving contrast as it took place. Not sure of why.

2 Likes

Welcome @jalexy12 to the forum. One of our members @TML has uploaded a short video about reading the axial views on a CT, which if contrast has been included will show any vascular involvement. If you go to the magnifying glass and search TML axial tutorial, then this should come up. You could then upload some screen shots here.

3 Likes

@jalexy12 as @Rosie mentioned , I do have a CT tutorial on the forum.

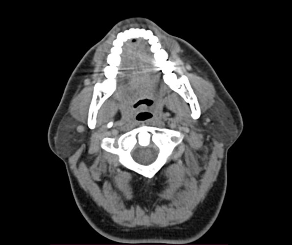
Typically, in the context of vascular ES, the most relevant view is of C1 in the axial view. I’ve attached my own imaging to help you know what to look for. It’s the top vertebrae with a white circle in the top middle:

1 Like

Feel free to upload any imaging on here if you like & we can take a look- make sure there’s no personal details on it though…I can understand that you want to be confident before travelling & having the venogram done!

2 Likes

Hey all thanks, will take a look at the video shortly, in the meantime here’s the axial view, I think.
r than a lot of the ones you guys have.

1 Like

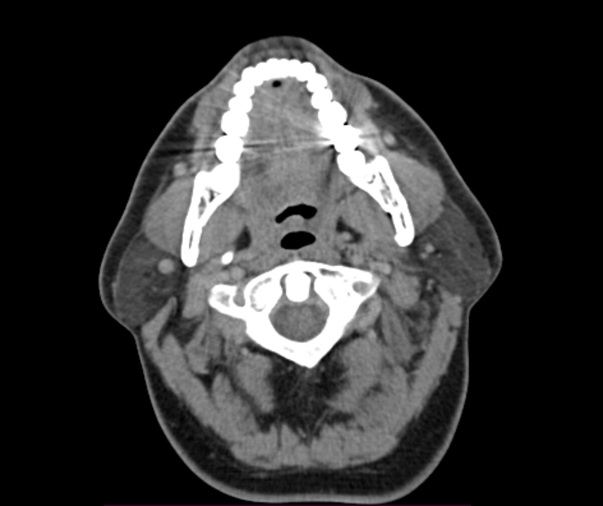
@jalexy12 see attached annotated imaging.

It’s hard to see, but I believe your your right IJV is wedged between your posterior digastric and C1. The right styloid is not in contact with anything, at least at this level.

Left IJV appears to have some compression against C1. Left styloid is not present at this level.

2 Likes

Thanks! I’m digging in a little more and have a few more shots.

2 Likes

Wow your right styloid/stylohyoid ligament is almost as long as it can get!! Your left side the styloid is around normal length and then there is a length of normal stylohyoid ligament, followed by a long pocket of calcified stylohyoid ligament.

2 Likes

yeah, it’s almost 6cm. Nakaji said symptoms sound like vascular, but as with all he sent me for a venogram. He also did mention the strange nature of my left styloid and how its arranged - bone, styloid, then calcified stylohyoid.

1 Like

You have a crazy amount of calcification in your neck, @jalexy12. I hope Dr. Nakaji will help you! Did you by chance look into Dr. Cognetti, too, since he’s in your state?

1 Like

Is it true Cognetti only operates one day a month on Eagle Syndrome patients? If so, then he would have quite a backlog.

1 Like

He meets virtually with ES patients for consults once per month. Depending on who agrees to go forward with surgery, he could have multiple days in a month doing styloidectomies. It just takes time to meet with him for a consult since he only does the consults once per month. ES consults are backlogged until april now I think. But he typically does the surgery within a month of the consult if surgery is agreed upon

3 Likes

Thanks for the updates. I got a telehealth in December with him for my right side. My insurance company cancelled my United Healthcare PPO Medicare Advantage Plan so now I have to use regular Medicare to see him. Apparently, the PPO plans are costing insurance companies with larger networks too much money. I am not eligible for the outstanding Medicare supplement plans in my zip code, because Ohio does not force them to offer coverage to disabled people. If anyone has actual “Traditional Medicare” and has any opinions on it, then please private message me. Thanks for your help!

1 Like

I didn’t, mainly because it was such a wait for even the consult. I’m likely to get in, and currently waiting to hear back from Hackman. I’ll likely get in with him and Fargan if anything were to fall through. Cognetti is about as far away as those in NC etc driving by an hour or so, so doesn’t make a huge difference.

2 Likes

I’m Canadian so I’ll let others chime in regarding medical insurance stuff in the US.

After you see him in December, and if you agree to go forward with surgery, it will likely be booked for later in December or in January (if he still books surgery within one month of consults)

2 Likes

I apologize for the fact that some of your best doctors in Canada leave for the United States, because they can make more money here. I peronally got frustrated with the Cleveland Clinic and paid a ton of money for a peripheral nerve surgery. Hope that isn’t true for every discipline, but I know a few that are really good at peripheral nerve surgery that don’t even take insurance here that came from Canada.

2 Likes

Crazy styloids! It looks like on the 3D images that there’s a reasonable gap between the styloids & the C1 process, but sometimes it can be more obvious on the axial images, it could be that the digastric muscle is causing compression as @TML saw…
I’m really sorry, I don’t want to confuse things as you’re already in contact with Dr Nakaji, but had you considered Dr Costantino in NY? He would be nearer than Dr Nakaji, possibly doesn’t need a venogram doing.

2 Likes

yep, definitely on the list, I’m going to get another round going now in case Nakaji falls through.

3 Likes