Ten months since I became debilitated by my symptoms, seven months since I first started trying to get help for potential Eagle Syndrome, I finally have all the necessary scans either completed or scheduled and a follow-up appointment scheduled with Dr. Constantino…the first week of October.
It seems like given everything I’ve already been through and how much I’ve managed to stabilize since the total disaster I went through this winter, waiting another five weeks for answers shouldn’t be that hard.
But I am scared.
I can’t tell if it’s (completely justifiable) anxiety or a gut feeling, but I’m concerned I won’t make it to that point without things getting much worse.
It’s pretty clear to me that I’ve got some CCI/spine/shoulder issues that are driving the increased ES symptoms. My right shoulder, upper ribs, and neck have been off kilter for months, but all the Drs ever say is that my scans are fine and I should do PT. However, I can’t do most PT without aggravating my ES symptoms. So I’m walking around with something in there so spasmed or misaligned that the slightest stumble, the smallest bump in the car, is enough to cause a cascade of pain and increased instability. My driving is already so limited and I’m afraid I just need to stop, but then how will my kid and I make it to medical appointments when my husband can’t take any more time off to drive us?
I can’t turn my head or look down. I can’t do most cleaning, cooking, any of my hobbies, even reading is tough. I have to be propped up partially reclining with my neck supported so that I don’t drop my chin. I’m afraid I’ll lose it soon for that alone. I can walk, gently and carefully, in smooth, even areas I know well so that I don’t trip. It’s kept me sane for months. Sometimes I walk for hours.
Since last night I’ve had increased neck spasms on the left side, I think due to my body shifting around a lot since my PT started helping me with my posture. An hour ago I swallowed an extra large gulp of water and felt that tight left spot STRETCH. My heart rate spiked and then dropped precipitously. I don’t know how low it got because my Fitbit doesn’t keep up. It was really, really low.
I feel like I can’t be careful enough to prevent a potentially serious accident.
How do I keep myself safe for the next five weeks? And then after that, potentially for months as I wait for surgery, if Dr. Constantino thinks my stylohyoid calcification warrants it? What the hell will I do if it’s not my styloids?
My Dr. has nothing helpful to say, nowhere else to send me.
I had to get a note from my psychiatrist saying that I don’t need anti-anxiety medication, because that’s what most doctors were defaulting to.
As I write, my left arm is cold and partly numb, and has been since last night. But I know that no one can do anything about it. Whatever it is, I just have to live with it.
I just asked my kid if we could walk to their Dr. appointment later today because I’m afraid to even try driving after I took a speed bump just a little too fast on Monday and it messed up my neck again.
My kid is very reliant on me right now due to mental health issues. I can’t just make myself a cocoon until I find help.
The soft neck brace doesn’t work for me. I think it probably increases pressure on my nerves and potentially blood vessels. I’ve got mild scoliosis in the neck that makes it lean to the right, which I’m sure doesn’t help things.
I just don’t know what else to do. Stop taking stairs, probably. Try to pare down my driving even more. Eat methodically in tiny bites. Stop petting my cats unless I’m sitting down in a chair (sitting or kneeling on the floor triggers pounding and pressure in the back of my head). I have pretty bad ADHD. The chances of me just forgetting to be careful long enough to make a terrible tiny mistake are high. That’s how I got into this position in the first place. A few momentary, impulsive lapses in judgment that led to me getting really hurt.
I’m going to ask my kid to help me make a paper chain to count down the days until my consultation appointment.
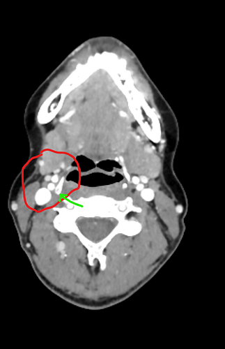
EDIT FOR CONTEXT: my CT venogram confirmed that I actually have pretty small styloids, 1 and 2 cm. But I also have “discontinuous calcification” in both stylohyoid ligaments. You can see a gap in the scan that I assume is just ligament, and then big pointy chunks of bone after that. In my personal opinion, the calcifications are angled inward quite sharply, possibly leading to more compression than someone would normally experience with calcifications this size. The right looks like it’s close enough to an artery to potentially compress it sometimes.



















