Intro Story from AZ, with Images

@Ladymaestro1 - I’ve actually heard of Dr. Maw & just looked her up only to find I saw Dr. Inserra, at the same practice where Dr. Maw works, just prior to having the surgery that gave me my dehiscence issue. She didn’t do the surgery but mentioned she was not longer doing that type of surgery. I foolishly neglected to ask her why she’d stopped doing it.

I really appreciate you sharing her name, @Ladymaestro1! She would have been local to me in CA if we hadn’t moved out of state. I will talk to Dr. H about her as Gopen seems to be a dead end for me at this point, & if I got a consult w/ Dr. Maw, it would give me an excuse to head back to my home area of many decades for a visit w/ old friends. :sparkling_heart:

2 Likes

My dehiscence is in my temporal bone, @tguerin18.

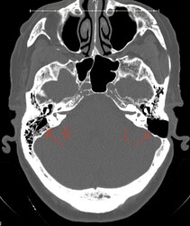
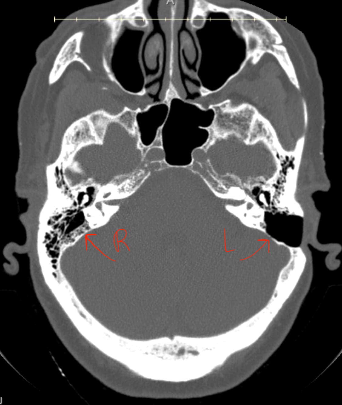
Here’s what the CT scan Dr. Hepworth had me get reported:
Left temporal bone: The external auditory canal is normal. There is a left wall of mastoidectomy. There is a small metal region in the medial mastoid resection bed. The bone over the left sigmoid sinus is thin and may be dehiscent. The bone over the medial and superior margin of the mastoid resection bed is thin and may be dehiscent. There is no mastoid fluid or demineralization. There is no middle ear fluid. The bone over the jugular bulb is thin at the level of the middle ear cavity.

You can see the difference between right & left inner ears in this CT image:

My symptoms are hearing loss & chronic loud tinnitus. I had hoped having my IJV decompressed would help restore some of my hearing, but unfortunately, due to the later discovered dehiscence issue, the surgery didn’t help.

2 Likes

@Isaiah_40_31 :open_mouth::grimacing: :folded_hands:

2 Likes

@Ladymaestro1 sounds like it will take a while for the fluid to settle/ rebalance/ readjust in your head, so very early days yet…I hope that the headaches etc will improve soon, praying for you :hugs: :folded_hands:

2 Likes

I’m also praying your body will get your blood & CSF flow normalized soon so you can stop feeling so lousy, @Ladymaestro1. I hope it happens much sooner than later. :hugs: :heart_with_ribbon: :bouquet:

2 Likes

Sorry your symptoms didn’t improve with IJV surgery. I can clearly see the difference on the image you posted. What was the reason for your inner ear surgery? I also have a sigmoid plate dehiscence, but none of the ENTs I’ve seen say much about it. They really only talk about the SSCD.

2 Likes

Thanks for sharing this! I love to hear positive stories of folks who had SSCD surgery and it healed them. I’m scared to move forward with it until I get some more information about my possible IJV compression.

3 Likes

Hi, Wow! It seems like you’ve been on quite the journey. I hope your surgery with Dr. H results in the some relief for you soon!

Regarding SSCD, some of your symptoms do align, so it might be worth asking Dr. H about it. The blown speaker sound in ear from singing or playing trombone could be related, but might also overlap with some other ear conditions that I’m not familiar with. I don’t think you will need another scan, as one of your previous ones will probably have the temporal bones.

I’ve seen neurologists at Barrow too, but haven’t had as much luck as you. They seem to be pretty dismissive of my head symptoms overall, even ones that might not be related to my SSCD.

Reading some other posts on this forum about Dr. Nakaji, he does seem more selective about who he thinks is a surgery candidate. I haven’t had a CT venogram yet, so depending on those results will determine if I can proceed with him. It’s good to know that I can always try to get an appointment with Dr. H in CO for a second opinion.

Good luck again with your healing and let’s stay in touch! Be well!

2 Likes

I had a cycling accident in 2015 between my intial 2 ES surgeries. Landed on the right side of my face & bounced to the left. I was riding down a hill & have no recollection of what happened. Just woke up when I was being loaded into an ambulance. Thank goodness for my bike helmet & sunglasses or I would have broken facial bones besides the concussion I sustained.

About a month a month after my accident, I began having roaring tinnitus, brain fog & hearing loss & was diagnosed with Meniere’s Disease & began being treated for that. What I didn’t know at the time was those symptoms were consistent w/ IJV compression which likely happened due to my C1 vertebra shifting left from the impact of my face hitting the ground. The ES surgeon I saw for my initial surgeries didn’t believe that ES could impact the IJV so didn’t recognize the symptoms. He was the one who diagnosed my symptoms as Meniere’s & sent me to the ear specialist in their ENT practice. Four years after the MD diagnosis (2019) my hearing loss began to rapidly increase so a surgery to place a shunt in the endolyphatic duct in my ear was suggested as the surgery had been shown to stop hearing loss progress. I jumped in with both feet w/o asking any questions because I wanted to save my hearing. It did help stop the progression of hearing loss, but it also changed my hearing so it was more muffled. After a couple of years, the hearing loss resumed its progression, & it was at that time I learned it could be caused by IJV compression & that Meniere’s is suspected to be a symptom of vascular compression rather than a distinct entity that always leads to permanent deafness (Thanks to Dr. Hepworth for that insight). At any rate, it was 9.5 years after my accident that I finally had surgery to decompress my IJV & subsequently learned about the hole in my skull base that has led to chronic loud tinnitus. The IJV decompression surgery has stopped my hearing loss progression but it’s going to take more than that to stop the tinnitus. The bone loss from the endo duct surgery is apparently a common “accident” as the tools used to gain entrance to the inner ear aren’t very precise for working in such a small area. My only regret is that the surgeon who did that surgery never came forward w/ the reason my hearing had changed so much after the surgery. He’s a smart guy & must have known, but he only claimed it was a normal consequence of the surgery.

1 Like

So glad you were wearing a helmet while riding. I used to do road cycling and triathlons in my younger days, but gave it up once I had kids because the cars are too aggressive in AZ. I can’t remember if I mentioned this, but I was also a competitive swimmer and swam d1 in college. I often wonder if turning my head to breath hundreds of thousands of times in my life might have had something to do with jugular compression. I guess I’ll never really know.

I’ve heard of endolymphatic decompression surgery, which I’m guessing is a similar one to what you had. Some SSCD surgeons supposedly still use it if ear fullness is the only symptom you have. I’m sorry to hear that it left you with some lingering symptoms. I eventually think the Menier’s diagnosis will become a thing of the past as they learn more about the underlying causes, similar to IIH being idiopathic. Listening to the webinars which this site suggests, it seems that vascular compression could be at the root of a lot of these issues, but more research is needed. I hope Dr. H or another ENT surgeon can give you some future relief by plugging the dehiscience.

2 Likes

I also wanted to add one other random thing to happened years ago to see if anyone thinks it might be connected. I was a backstroker when I swam in college. When I would do a start in a meet off the blocks, you arch your head and back to enter the water, then do a very tight streamline position underwater. When I did this, the whole left side of my body would go limp (lose all feeling) for about 3 seconds. My feet and hands went numb, like I couldn’t control them, as well as the left side of my mouth would droop, similar to bell’s palsey. I never really told anyone at the time because I was young and it always went back to normal. Curious if it was related to some compression in my neck that made the whole left side of my body not work for a few seconds. I’ve since brought it up to multiple docs but they have little input. One did ask me about a condition called Bow Hunter, but I’m not familiar with it.

2 Likes

I thought swimming was supposed to be good for your health :joy:

It’s interesting your thoughts about turning your head to the side regularly, possibly it put a strain on ligaments or slightly enlarged the muscles which could cause more inflammation & then calcification? Arching your neck sounds like it could’ve trapped a nerve, although it might not account for your leg going limp, as those nerves emerge further down :thinking:

1 Like

@tguerin18 - You’ve definitely led an active life. I started mine after my kids graduated from high school. :joy: I did play sports in high school but only recreationally in college & after until I started long distance running which was the in the post kids’ HS years. Cycling was just to get from point A to point B though I did a 100K ride that was for a fundraiser. Thought I’d never be able to sit comfortably again after that. :rofl:

The symptoms you shared that happened when you took off for a backstroke race do sound like they could be the result of “Bow Hunter’s Syndrome” which occurs when the vertebral artery in the neck becomes narrowed or blocked. Perhaps the position of your head/neck as you launched yourself from the wall at the start of the race pinched off your vertebral artery for a second or two causing your symptoms? BHS has been mentioned on our forum before. It is curious that happened to you, but the good news is you aren’t having that problem anymore.

Interesting that the endolymphatic decompression/shunt surgery is also used for similar symptoms of SSCD, but it makes sense. Hopefully the surgeons who do it are more careful not to disturb the bony tissue I lost getting mine done!

Today I was turned down for a consult w/ a surgeon who may be able to help surgically resolve my chronic tinnitus. The excuse was that I need to see someone in my own state because I have out of state insurance. I was proudly able to say that I have Medicare which provides coverage in all states, & my supplement is from the state where that surgeon practices. The caller referred me to another ENT office which is also out of state for me which made me laugh. I told him, if I can’t get the help I need from the referral, I’d be calling back. Gotta be good self-advocates, eh?!

1 Like