@tguerin18 Thanks for the info! I am in Tucson, but I drive up to Barrow to see Dr. Robblee, who is my Neurologist. She first suspected CSF leak and I went through MRIs/blood patch and ultimately out to see Dr. Schievink at Cedars for invasive imaging (MRIs, DSMs, CTM). No spinal leaks/fistulas found so far… but I do have a TON of perineural nerve root sleeve cysts along my entire spine… which can be an indicator of longtime high pressure.
In the middle of that, I found my way here and @Isaiah_40_31 helped me see my grossly elongated styloids on a plain CT I had. Dr. Robblee referred me to Dr. Lawton. He ordered CTA/V and Cerebral A/V and they didn’t think I had significant compression.
While he is an amazing doctor, I didn’t go to Dr. Nakaji at that time because a. He was still in process of opening private practice b. He’s very selective and I didn’t want to waste time going through all the hoops again with possibility of rejection and c. I strongly felt God leading me to Dr. Hepworth.
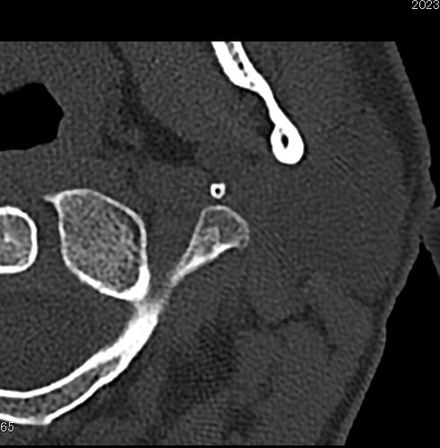
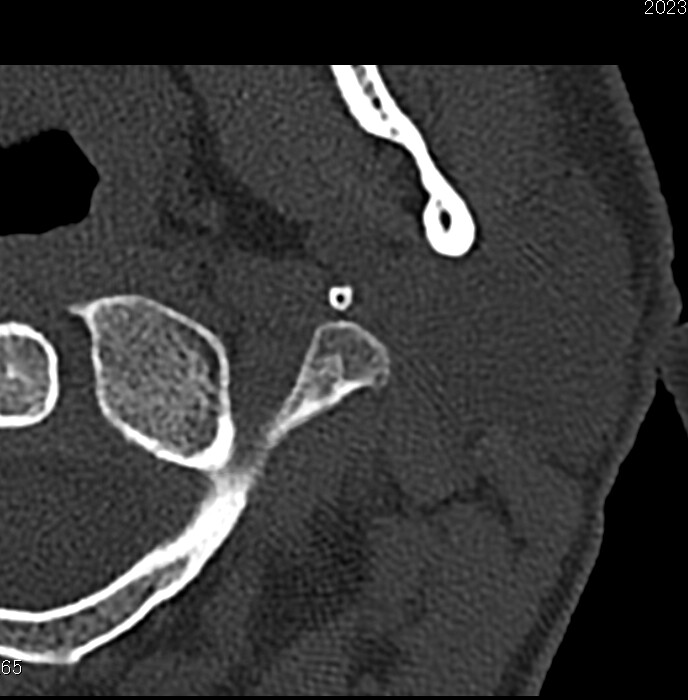
So, I went to Dr. Hepworth for second opinion and he found that I definitely had styloid/C1 IJV compression, amongst quite a few other things.
He said my ear bones were dry and that was good. We haven’t talked about SSCD much as the focus has mainly been on getting me decompressed. I just had Styloidectomy/IJV decompression side 2.
If my lifelong, constant, high-pitch tinnitus is still this bothersome at follow up in November, I’ll ask him for advice from there. I don’t think I have any other symptoms of SSCD, but I haven’t researched it much. Like I don’t have strange, internal head noises other than the tinnitus and an occasional, horrific, low, blown-speaker sound in my left ear sometimes when I sing, play trombone, or am around very loud stuff like concerts. I was a Band Director for 31 years, and an original, 1980s Walkman user (Heavy Metal!), so who knows what damage is just from that. Thank you for letting me know about Dr. Stevens and Dr. Deep at Barrow/Mayo. If I need to go that route, I don’t think getting a referral is going to be an issue.
I do have plain CT of head/sinus bones a CTM of cervical spine that just covers TB area, and two CTA/Vs. Is CT of temporal bone a whole other specific scan? If so, I mean… I should already be a freaking glow stick, so what’s one more? 
I do see interior vertebral venous plexus engorgement wrapped around my vertebral artery at C1/C2. Never reported, but when I asked, Dr. H confirmed it and something about much-needed radiologist training. If that doesn’t resolve with this surgery, I may very well go to Dr. Nakaji and get his thoughts. My daily symptoms come with a lot of possibilities (CCI, venous malformation, CSF venous fistula, etc.) and not a lot of money to pursue them.
For now, I’m all about focusing on healing from this surgery and praying daily that this is the thing that gets my blood/CSF flowing properly!
Prayers up for you, my neighbor!!! 