Thoughts on necessity of cutting Great Auricular Nerve for IJV Decompression Surgery?

Hello!

I have been approved for surgery with Dr. Costantino for decompression surgery. However I am a little weary that he says he cuts the Great Auricular Nerve to access to the space. He said you should get sensation back within 6 months, but anecdotally I have seen some cases where people are still numb. I don’t know if I’m overreacting, but my impression is that Dr. Hepworth & Nakaji don’t do this, so it doesn’t seem like it actually would be required to do decompression? I imagine it does make things easier, which I can understand.

Just curious of others’ thoughts if this is that big of a deal. I was thinking of getting Dr. Nakaji’s opinion and seeing if I would be a candidate with surgery for him. But can’t tell if I’m overreacting just because I’m generally nervous about surgery, or if this is just an actually unnecessary step. I kind of didn’t love how flippant Dr. C. was in discussing it like “it’s a small price to pay” which - I would certainly take some ear or facial numbness over the symptoms I experience day-to-day. But if it’s not truly necessary then I don’t know that I want it cut on the risk that sensation isn’t restored haha.

Thank you as always, this group is amazing <3

5 Likes

Thanks for sharing this and asking the question. I am also interested in others’ thoughts and experiences on this.

3 Likes

@leeski never heard of this one before. If a nerve is cut (i.e., severed) it will never go back to normal. A damaged or irritated nerve will heal, but if a nerve is “cut” it is impossible for it to ever relay sensory/motor signals to and from the brain ever again. Does he mean that he cuts the nerve at the beginning of surgery and then reconnects it before stitching you up at the end of surgery?

That’s exactly what happens. Dr. Costantino cuts the GAN does the styloidectomy/posterior digastric resection & Dr. Tobias does the C1 shave & repairs the GAN then the patient’s neck is sutured.

2 Likes

@leeski - As far as I know, Dr. Costantino is the only one of the vascular surgeons we know of who cuts the GAN for better access to the styloid & the IJV. I agree that it seems a bit extreme but he’s done many successful surgeries & only a couple of people have mentioned having trouble w/ their GAN healing post op.

The other thing Dr. C does is routinely remove the posterior digastric muscle. There are cases where this is necessary as that muscle is part of the cause of the IJV compression, but to do it routinely seems unnecessary to me. I don’t believe any of the other vES surgeons we know of do this, only if it’s contributing to compression, & often, the whole posterior digastric doesn’t need to be removed, only a small portion.

It wouldn’t hurt to get an opinion from Dr. Nakaji.

4 Likes

If it helps at all, I just passed three months post-op and have achieved about 75% of the sensation I had lost when I woke up from surgery. There’s no real functional problem, it’s more just annoying than anything. Areas where I still am healing are: (1) Lower 30% of my ear, mostly earlobe, (2) corner of jaw radiating out with a ~1 inch radius, (3) Under my jawline where the digastric muscle was removed, down to about the middle of the throat.

Imo I think it depends on: (1) age, (2) “overall” health at time of surgery, (3) any supplements post-op to encourage nerve regrowth (I went on a B-complex vitamin after 10 days post-op).

I think Dr. Costantino is the best that is doing the surgery right now based on his methodology, so I wouldn’t let it deter you too much if clear benefit is to be gained with the surgery

4 Likes

Ah sorry I was not complete in my description, didn’t realize I just made it sound like he severs it and then is done with it haha. But yes he does sew it back together… I have just heard of some patients not getting back sensation which has made me nervous as it seems like a bit of a gamble…!

3 Likes

Thank you for such a thoughtful response. I am seriously amazed by the care and attention you give to each post, you are truly a gift and a gem. I have also questioned the digastric muscle as that totally makes sense to remove if it is the culprit, but it seems kind of overkill to just ALWAYS get rid of it haha. Thank you for the peace of mind and sharing your knowledge, as always! I will reach out to Nakaji and see his thoughts. Thank you so much!

5 Likes

Thank you so much for taking the time to share your experience. This is a great reminder of how it is not really a functional problem haha. I had spinal CSF leaks for many years and have had many blood patches, but this is my first actual surgery so it is very easy to spiral with the ‘what if’s and it definitely doesn’t help when you read negative outcomes from other patients. But I appreciate your reassurance as I would definitely take a loss of sensation to alleviate my symptoms.

Appreciate such a thoughtful and detailed response! Has your recovery gone pretty smoothly? Do you have any regrets or have your symptoms alleviated at all? Thanks so much again! So appreciative of this forum.

3 Likes

I’m glad I’ve been able to help you, @leeski. You have the hardest job, though, & that is deciding who you’ll have do your surgery. I’ll pray for you as you work on making that decision.

BTW - I love that you dogs & included one in your avatar pic. Are all of your dogs big?

1 Like

@leeski sure thing! Totally get how things can be super daunting, especially for any kind of major surgery, especially the first go-around! Sorry to hear about the CSF leaks, they are a pain and a half

I really felt confident with Dr. C & T especially on surgery day. They are both incredibly skilled and know the anatomy of this surgery inside and out. Recovery has been pretty straightforward, other than arm/shoulder weakness from mobilization of the spinal accessory nerve. I had trouble raising my arm above about shoulder level for ~4-5 weeks, but PT has helped a lot with that & now my strength & range of motion are about on par with my left arm.

Symptomatically I improved during weeks 4-7, but have regressed almost each week since then til about pre-op levels with most of my symptoms, but especially with fatigue, dysautonomia & headaches. However things like brain fog are a bit better, but I’m overall a bit disappointed. Good to keep in mind though that my other IJV is even more compressed than the one I had surgery on (we did the dominant one first), and Dr. Nakaji told me in my consult with him that he was 90% sure I’d need both sides done. So trying not to judge things too soon, especially only at the three month mark, and especially with potentially needing the other side done.

2 Likes

@dreamliner - Though I initially was operated on for non-vascular ES, I had the same situation post op after my first surgery. I had my right styloid resected first (doctor’s choice) though it was shorter & less symptomatic. At 2-3 mos post op, the symptoms from my remaining styloid began to flare up & got worse & worse as the days/months passed. I was scheduled for my second surgery 6 months after the first one, but it got bumped even further to nearly 9 mos after the first one because I had a cycling accident w/ a head injury between surgeries. I was very miserable by the time that second surgery took place, but I also had some immediate relief from nerve symptoms after that second surgery.

1 Like

Will you get the other side done? If so I hope that your symptoms improve, it’s a shame that you’ve gone backwards since your initial recovery :cry:

From my experience, he does this due to his surgical approach to access the site, minimizing any damage to facial nerve and careful placement of the surgical scar for cosmetic reasons. Many people who have facelifts have this nerve cut and have similar nerve recovery process. Dr C. & Dr T. performed surgery on me 4 weeks ago. The feeling in my ear is returning, tingling as I type this post. I’m so happy to have no facial nerve complications, in my opinion, small price to pay. AND I love the placement of my scar. So much better than other options, in my opinion, as well. Nonetheless, it’s important to choose a surgeon that meets your specific needs. From my experience every doctor has their own views, and procedures. Dr. C is very focused on removing all compression of the IJV.

3 Likes

@babsbr

That’s one reason his name gets mentioned so often on this forum! Thank you for sharing your incision information. It will be helpful for others. I had neck incisions which are basically invisible now. A good surgeon is usually also a good “seamstress/tailor”, too. :blush:

1 Like

@Isaiah_40_31 Thanks again for that reminder – I can get so caught up in the suck of each day that it can be hard to remember the big picture! One thing I noticed the last few weeks is when my HR gets high and I get that “internal choking” sensation that we all sometimes describe, it seems to be a good bit stronger on my left (non-decompressed) side. Maybe that is a small vote of confidence for the non-decompressed side causing symptom flares? I guess we’ll see as I have a few appointments coming up this month, including one with Dr. C.

@Jules I think that’s my plan for now, I have imaging this week to see how the decompressed IJV is doing (first imaging since surgery), and then a follow-up with Dr. C the following week. I’ll keep you guys posted on how the scan looks and maybe also provide a before/after of the decompressed side

2 Likes

@dreamliner - I’m sorry your recovery isn’t hastening along so you’re feeling lots better. The days do seem to slog by when you’re not feeling good. Another thing I noted w/ my nerve recovery was that some symptoms hung on & hung on then one day I’d notice a particular one was gone. Whether it had gradually disappeared or suddenly, I can’t say. This was later in my recovery i.e. 6-8 months after surgery that I was more aware of noticing a symptom that had stuck with me was gone. Each symptom disappearance was a gift!

I’d love to see your before & after images & will look forward to you posting them.

2 Likes

It is disappointing for you not to be feeling better, but quite a few members have needed both sides doing before they’ve really felt the benefits…look forward to seeing the imaging!

2 Likes

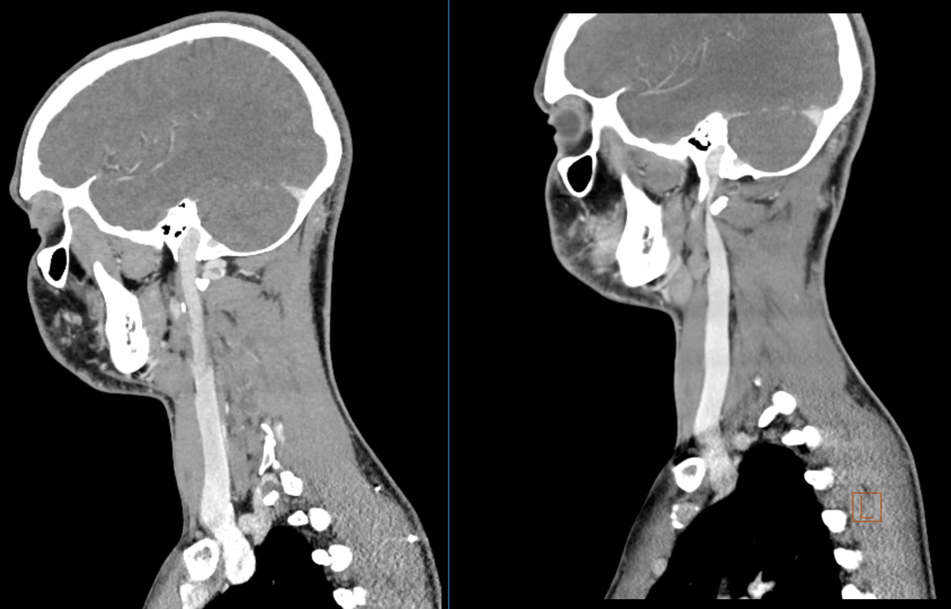
@Isaiah_40_31 @Jules Post-op imaging from today! Left side is post-op, right side is pre-op. Both are of the R IJV. Looks like a tiny bit of residual compression from C1 in some of the slices, but overall looks very open. My biggest concern was scar tissue so no real sign of other compressions is good news! Happy to hear thoughts on it if you guys have them as well

2 Likes

WOW! That’s a significant gain in IJV diameter, @dreamliner. I suspect having the other side done, too will make a more significant difference.

I have to ask - have you had any imaging done to look for other compressions such as TOS or Nutcracker Syndrome?

2 Likes