@neckpoke - Just reading your story is
! You’ve certainly been through it all!! I believe your gut feeling is correct that much of what you still have going on is related to your styloids, hyoid, & potentially vascular compression.
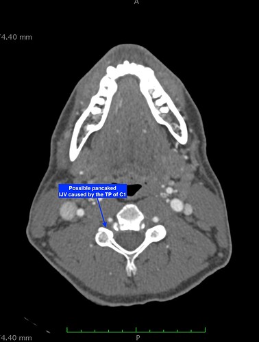
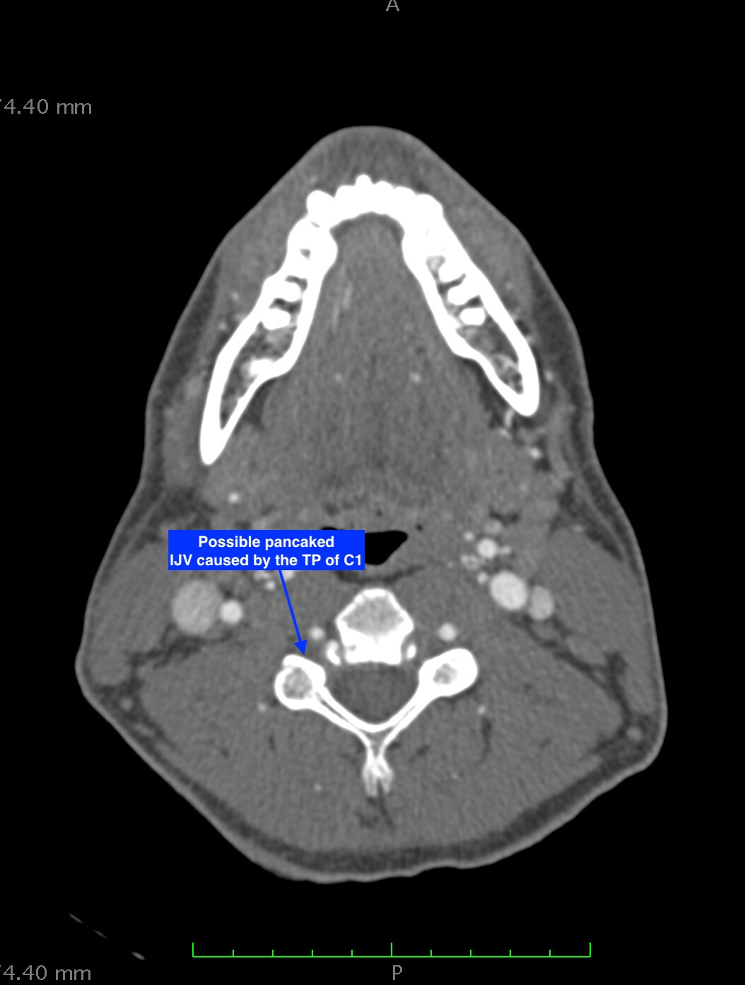
From your current description, I’d say you have internal jugular vein compression possibly being caused by your styloid/C1 & based on the pictures you posted, more by C1 (I’m assuming the sagittal image is your right side). With your note that your right external carotid artery is in the wrong place, I suspect you may also have ICA/ECA irritation/compression being caused by the right greater horn of your hyoid. The issue more likely is that the right greater horn of your hyoid is elongated & has come between your ICA & ECA just above the carotid bifurcation. We’ve been seeing more of this recently as well as having more members who seem to have symptoms & scan evidence of both ES & HBS.
I recommend you get an appointment w/ Dr. Costantino in NY to get his opinion. Dr. Dewan in Louisiana is our “go to” for Hyoid Bone Syndrome. See Dr. Costantino first & discuss the hyoid vs carotid issue with him to see what he says. Your case is pretty complicated so it may take a couple more doctor’s opinions/surgeries to get you to a point of recovery.
•Dr Peter Costantino, 4 Westchester Park Dr, 4th floor, White Plains, (914) 517-8056
http://www.nyhni.org/find-a-physician/Peter-D-Costantino-MD,FACS
•Dr. Karuna Dewan, Ochsner LSU Health Shreveport - Academic Medical Center - Specializes in Hyoid Bone Syndrome surgeries
1541 Kings Hwy, Shreveport, Louisiana, 1-318-626-0050
I’ve annotated a couple of your images but please don’t take my guesses as diagnostic. You have lost the lordotic curve in your cervical spine which can also contribute to the symptoms you have by bringing the styloids & hyoid closer to the nerves & vascular tissues in your neck thus increasing the chance they will “meet” in an unfriendly way. There are gentle PT exercises that can help restore the curve (see the link below) or explore the Denneroll (Cervical Combination Order).


