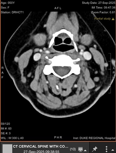
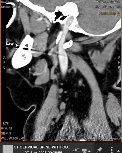
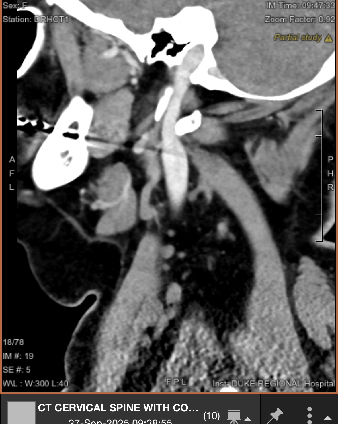
Ok...here's my CT...and no mention of styloids, but I think they are compressing IJV..Opinions?

Hi all,

So, I have the following symptoms:

brain fog, headache, ear fullness, conductive hearing loss, ear pain, dysphagia, gastroparesis, pulsatile tinnitus, tinnitus, balance problems, eye watering, double vision, ptosis of my eye, trouble with visual tracking, and exercise intolerance. I also have confirmed IIH. Of course, the radiologist did not comment on the CT Scans, so here I am asking for an opinion. I think I see jugular compression here between C1 and the styloid. I don’t have the CD, but I can get it.

Thanks in advance for any help.

Nanc

2 Likes

@Nanc765 Good job posting helpful images! It sure looks like you have bilateral IJV compression. You have one very interestingly shaped styloid & on the other side it appears that you have a chunk of calcified stylohyoid ligament but not an elongated styloid, however, that image may have been taken further from the skull base than the other one so your styloid may be helping w/ the compression on both sides. Your symptoms do align with those seen w/ IJV compression.

2 Likes

I agree with @Isaiah_40_31 , it sounds like your symptoms are grim…I had bilateral IJV compression, but just with the styloids, no C1 compression. I felt much better when my styloids were removed…
If you’re able to travel, Dr Costantino in NY or Dr Cognetti in PA are very experienced with vascular ES, so would be worth consulting. Dr Fargen has done some surgeries we think, & knows about VES, but not sure how many he’s done. Dr Hackman in NC has done lots of surgeries, but doesn’t do C1 shaves, sometimes that needs doing as well…

2 Likes

I agree with the others. I think you’d benefit from bilateral styloidectomy above the level of C1 to open the IJVs up

2 Likes

Thanks everyone for the opinions…now to work on my insurance because they won’t cover syloidectomy for jugular compression.

3 Likes

@Nanc765 are you able to download Radiant viewer and open your CT imaging in the software and construct a 3D model? Can ve helpful to double check that there aren’t any stylohyoid calcifications or anything going on with your hyoid while we are looking at it. Or compression of the IJVs further down

2 Likes

I would have to get a CD to download it. I can try but it will be a few weeks.

2 Likes

Ugh, so frustrating when the imaging health portals don’t allow patients to download CT DICOM files to their computers

1 Like

We have a number of discussions on our forum regarding doing insurance appeals. Some insurance companies even have a patient advocate. You should see if yours does. Patient advocates can also be found online & will help “do battle” w/ medical insurance companies who are declining life altering (in a positive way, of course) surgeries for their insured. Here are two discussions to get you started:

1 Like